炎の女 丸谷るみ 大腸癌のため2024年2月8日没す。
私の懼れていたことが起こったのに、その死はあたかも突然の事件のように思われ、私の頭も胸も中で掻き乱している。
家内が死んでしまった。 、、、、、、信じられないのである。ただただ思うのは昨日まで確かに家内と会話を交わしていたのにという怨みだけである。
行く川の流れの如く世の中の移り変わりにつれて人の幸不幸もさまざまなもの、癌と言われたとしても生き抜く人もいるのに、瑠美はそれだけの
定めであったのだ。
死んでしまった家内を思うと、私は躰の中の突っかえ棒が突然に無くなってしまったように生きている今が覚束ない。
2022年(令和4年7月)CTにて検査の結果を消化器外科の松田医師から「肺に癌細胞が沢山散らばっている」と、康に連絡があった。
2022年4月28日〜 第2回のXELOXアドバイス療法したが血便なし、マーカーも範囲内数値だが、肺に癌細胞あり、このままだと
癌化するので、第3回目の薬をライザムザ療法に変更することになった。
2022年12月16日〜2023年4月6日の間に6回で終了、しかし、「しぶとい」と、のことで4月6日にまだ点滴を続けるという。
2023年5月2日 清水Dr.より腸に癌細胞ありとの事。肺にもガン細胞あり、30〜40個。

丸谷るみが残した記録 「何事においても一つ一つの事例へおろそかにしないといった彼女のの精神がよみとれます」
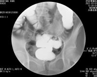
*直腸全摘手術前のレントゲン写真 (伊奈胃腸病院)
.jpg)
.jpg)
.jpg)
2021 3.22 直腸手術
4.24〜11.18 ゼロ―ダ治療
2022 2. 3 肛門修復手術
7. 8 マキクリニックの紹介で、救急外来へ、CT,「肺への癌の転移予防のため。
8. 5〜11. 4 抗癌剤点滴、橋本病院で肩から点滴を入れる手術。1回目以降は医大にて、効果なしとの事で、点滴を続ける。
2022 12.16 第3回目の抗癌剤治療開始(ラムシルマブ+FOLFIRI療法)
2023 1.月2日、2月3日、2月24日、3月17日. 4月7日(2/24,3/17 しびれ、舌に黒班ができ下痢、嘔吐が続く。大層苦しかった。※肺の癌は、小さくなったものもあるが、
大きくなったものもあるので、点滴をやめると、せいぜい2年半と、告げられた。(主人も一緒に)松田氏説明中、пuおい、今度どこへ言ったらええんよ」、、、、、?
しびれの原因は、1月2日に使った「エルプラット」の副作用。下痢は2月3日の「カンプト」が原因だと聞いた。
2023 第3回目の抗癌剤治療終了時に清水Dr.の説明で、治験を受けるのか否かを聞かれた。そのとき、腸に癌のあると告げられた。また、肺癌への点滴の効果なしとのこと。
光生の信頼したセカンドオピニオンの検査では(和歌山県立医科大学)


光生のアドバイスも、るみには釈迦に説法。
るみ、この世におさらば。
2033 6/8〜6/21
放射線治療をおこなう事になる。(大腸がんに)できる量の半分を2回に分けおこなう予定。 尿などの神経圧迫、尿が出ない。足が痺れる。放射線治療は2週間後に、その
効果を感じる。放射線の効果は半年だそうだ、2回目は効果がない。
その後のメモは康が持ち去る。
「先生、どうやって殺すん」
最後生き抜いた3箇月は平成4年2月二十四日に永眠した丸谷董裕と同にひどく痛がっていました。しかし、寒さに震えていなかったのはせめてもの救いになっております。
病骨稜如剣

第一薬品の辻氏が薬を入れると
医師は不在、康が死を確認した 
令和六年二月八日 午後八時41分であるが、、、、、、、医師は逝った後、康からのрナやって来た。小生が枕経を読むと
● 元祖大師御遺訓 一枚起請文
唐土我朝に、もろもろの智者達の、沙汰し申さるる観念の念にもあらず。また学問をして、念の心を悟りて申す念仏にもあらず。ただ往生極楽のためには
「おとうさん、ちょっと!やめて」と、石田医師の声。
南無阿弥陀仏と申して、うたがいなく往生するぞと思い取りて申すほかには別の仔細候らわず。ただし三心四修と申すことの候は、皆決定して南無阿弥陀仏にて往生するぞと思ううちにこもり候なり。この外に奥ふかき事を存ぜば、二尊のあわれみにはずれ、本願にもれ候べし。念仏を信ぜん人は、たとい一代の法をよくよく学すとも、一文不知の愚鈍の身になして、尼入道の無知のともがらに同じうして、智者のふるまいをせずしてただ一向に念仏すべし。証のために両手印をもってす。
浄土宗の安心起行この一紙に至極せり。源空が所存、この外に全く別義を存ぜず、滅後の邪義をふせがんがために所存をしるし畢んぬ。
建暦二年 正月二十三日 大師在御判
と、以上の出来事がおこった。
≪ Quand les hommes politiques se limitent a administrer un systeme de reglements ou de pouvoir, une histoire sans violence peut etre attendue. Cependant, quand on a le malheur ou la chance de vivre a une epoque ou les fondements traditionnels de l'Etat ou de la societe s'effondrent, et que les etres humains doivent constituer leurs propres relations bon gre mal gre, la liberte de chacun menace la liberte des autres de mort, et les assassinats proliferent. ≫・・・・・・la situation actuelle au Japon.
C'est une structure a laquelle le peuple
japonais, qui, meme apres avoir largement
reussi dans ses luttes contre d'autres animaux
et le coronavirus, tatonne encore pour
trouver une maniere de se gouverner, ne peut
echapper pour le moment. Cependant, cette
action meme ? ≪ un medecin tentant de reorganiser
seul les relations humaines a Wakayama ≫
- engendre logiquement et inevitablement
un conflit de mort et de meurtre.
●がん患者さんの看取り方
大事な人が亡くなるのはとてもつらいことですが、しっかりと事前に情報を集め、
心の準備をしておかないと、いたずらに死にゆく人を苦しめ、あとで己の行為を
悔やむことになります。
特にがんの患者さんが亡くなるときは、たいてい悪液質になっていますから、
状況を理解しない家族は、無理に食事を摂らせようとしたり、点滴や注射や
酸素マスクを求めたりして、患者さんを苦しめます。
医療は死に対しては無力です。それどころか、よけいな医療は死にゆく患者さんを
苦しめるばかりです。よけいな医療というのは、死を遠ざけようとする処置です。
「まだ治療の余地があります」とか、「なんとか別の方法を試してみましょう」などと
言う医者も、内心では何もしないほうがいいんだけれどと思っているというのが、
ほんとうのところです。
一方、死にゆくがん患者さんに必要な医療もあります。
それは痛みをコントロールするために医療用麻薬の使用です。
モルヒネが主ですが、ほかにも人工麻薬のフェンタニルやオキシコドンなどもあります。
飲み薬や持続注射、座薬や貼り薬もありますから、患者さんの状態に応じて使用できます。
私ががんになって最期を迎えることになれば、早々に医療用麻薬を開始してもらって、
麻薬の安楽なもうろう状態で、この世とお別れしたいと思います。
『坊ちゃん』 夏目漱石
われわれが人と会話するときのことを考えますと坊ちゃんの「ちゃん」を、「ちゃん」は相手に対して親しみを表現する感覚で使いますが、
幼児を呼ぶときはほとんど「ちゃん」です。
しかし、○○「さん」というときは相手の人格を尊重した意味にとれます。
また、おかあさんは子供が乳離れをしていないときは「ちゃん」で、「さん」とか「様」づけになったときは、子どもが親元から独立したときに
ひとびとから人格を認められたような感じです。
夏目漱石さんの『坊ちゃん』をこんな感じで読んだとき、清さんの存在とわが妻るみの存在が私の母への甘えと相似していました。
≪、、、、、、死ぬ前日おれを呼んで坊ちゃん後生だから清が死んだら、坊ちゃんのお寺へ埋めてください。お墓の中で坊ちゃん
の来るのを楽しみに待っておりますと言った。だから清の墓は小日向養源寺にある≫
関西人は「坊ちゃん」を「ボンボン」と言ってますね。「ぼんち」とも言います。
5月13日 「漱石会」は「有吉佐和子記念館」で開催されました。
本日は5月で満95歳になられました廣岡茂久氏も老人ホームの外出許可をとられて雨のなかセニアカーを運転されてのご参加されました。
この行動力はわたくしたちの宝です、また、民謡『忠義桜』を独唱されるなど「年老いて万事枯ゆく昨日今日、むさ苦しさになるまいぞ夢」
を実践中のお人です。また今回の『坊ちゃん』を解題とした読書会は「読書百遍意自ずから通ず」を体験できたことの満足感がございました。
全身全霊を集中させながら一歩、一歩前進する廣岡氏にくらべますと、吾輩の生き様は結婚→放蕩→読書とやりたい放題。
妻にライフラインの責任を依存し趣味に生きてまいりました。
例えばお金の管理などは妻に任せてそこからおこずかいだけ貰って生きる、妻を洗濯女代わりに使いまくるなど、
昭和生まれで親が戦争体験者のひとびとは、こんなひとびとが多いのではないでしょうか。
なにをするのも「おかあさん!」と、妻を乳母代わりに使います。ここに「恋愛と妻」とは別人格のもとにgoing my way
を貫く男子たちが生まれました、『関白宣言』などが大流行しました。
「文学」というものはこのような考えを刷新させてくれ、現代社会に「その作品」といった子を産み落としました。
大逆事件の女たち、石川啄木の妻、与謝野晶子、平塚らいてう、津田梅子など明治時代のひとびとは女性の解放について
真摯に向き合っておられたようです。
しかし、戦争を知らない子どもたちの世代あたりから以降の青年層というものは、戦争の影響よりも戦後の影響を強く受けている
ような気がいたします。
終戦から10年後、都会のみ平和が狂騒しているこんにちまで、昭和30年世代の人々は戦争と別種な不可思議な体験が重ねあげられて
きました、その体験の蓄積が悪く発酵した例として、プロパガンダが蒸しあげて活字として羅列しています。
よい例の一つが小生の家内のような底抜けに明るい屈託のない娘たちの出現です。
反面、漱石さんの『私の個人主義』を理解できず、団塊の世代の学習のの果実に甘えて、良いところばかりつまんで解釈しているために
自分本意の思考のみ優先するひとびとが増えています。
思うに、明治・大正・昭和の人々には欧米列強に方を並べるといった大命題が存在し、その魂を抱きながら生きぬいてきたです。
平成世代以降のひとびとは昭和30年以降のひとびとに育てられた結果、明治の日本人たちのガッツは見受けられません。
ゆえに、古き昭和の良き時代を回顧しながら老人クラブのような「漱石会」での読書会でお勉強をし、ボケ予防をしながら令和の時勢の嵐も
吹きごたえがなくなるまで生き抜いてやろうじゃありませんか。
【恩田先生の解説から】
・「坊ちゃん」だけには「うらなり」や「やまあらし」のような姓がみあたらない。
・「清」は坊ちゃんにとって乳母のような存在である。
・「結婚」=うらなり「放蕩」=赤シャツ「読書」=漱石を あてはめ考えました。
漱石さんが『坊ちゃん』を書いたころ、この小説を舞台とした松山市一番町愛松亭より正岡子規さんにお手紙を出していました。それは
『坊ちゃん』が松山を舞台にしたことの子規さんに暗黙の了解を得たかったのでしょう。
≪・・・・・・・古白氏自殺のよし当地に風聞を聞き驚き入り候随分事情のある事と存じ候らへども惜しき極に候≫
と、同時に藤野古白『人柱築島由来』の横死を提起。
快刀切断両頭蛇 快刀 切断す 両頭の蛇
不顧人間笑語譁 顧りみず 人間(じんかん) 笑語譁(かまびす)すしきを
黄土千秋埋得失 黄土 千秋 得失を埋め
蒼天万古照賢邪 蒼天 万古 賢邪を照らす
微風易砕水中月 微風 砕き易し 水中の月
片雨難留枝上花 片雨 留め難し 枝上の花
大酔醒来寒徹骨 大酔 醒め来りて 寒さ骨に徹し
余生養得在山家 余生 養い得て 山家に在り
刀ですっぱりと二股かける気持ちを切り断ち、世間のやかましい嘲笑は相手としない。
損得の勘定は永遠に地面の下に埋め、お天道様は永劫に賢と邪とを見定めてくれる。
水中の月影は、そよ風にも砕けやすく、枝に咲く花は僅かに降るだけの雨にも落ちてしまう。
随分酔ったのに醒めてしまうと、寒さが骨身にこたえるが、残りの人生は田舎で過ごすとしよう。
また、五月二十八日付書簡では、
≪小生、当地着以来、昏々俗流に打ち混じ、アッケラ閑として消光、身体は別
に変動も無之候。教員生徒間の折合もよろしく好都合に御座候。東都の一瓢
生を捉へて大先生の如く取扱ふ事、返す?恐縮の至りに御座候≫
と、この頃における松山での生活が比較的快適であることを述べています。
そうした気持ちがこの詩全体に反映されている、と考えられると思いませんでしょうか。
※『人柱築島由来』
人柱の話については南方熊楠も探求されていて、『南方熊楠選集』にもみえます。
「物をいふまい 物ゆた故に、父は長柄の人柱」
『和漢三才図会』に従うと、はじめてこの橋を架けた時、水神のために人柱を入れなくてはならねと、
関を垂水村に構えて人を揃えんとす。そこへ同村の岩氏某がきて、人柱に使う人を袴につぎあるもの
ときめよ、と差しいでた。ところが、そういう汝こそ袴につぎがあるではないかと捕われて、たちまち
人柱にせられた。(笑い)
また、大正十四年六月二十五日『大阪毎日新聞』に、誰かが築島に人柱はきくが築城に人柱は聞
かぬというように書かれたが、井林広政氏から、かつて伊予大洲の城は立てる時お亀という女を人柱
にしたので、お亀城と名づく、と聞いた。この人は大洲生まれの士族なれば虚伝でもなかろう。
と、書かれていらっしゃいます。
講師の恩田先生曰く、この小説の時代背景にはポーツマス条約と日露戦争を揚げました。
明治38年(1905)8月10日からアメリカのポーツマスで講和会議が開かれ、9月5日、日露講和条約(ポーツマス条約)が調印されました。
同条約は、両国が10月15日批准を相互に通告して発効し、16日に公布されました。
・ロシアは北緯50度以南の樺太(サハリン)を日本に譲渡する。
・ロシアは日本の韓国における軍事・経済上の卓越した利益を承認し、日本が韓国に指導・保護・監理の措置をとるのを妨げない。
・日露両国は満州から同時に撤退し、満州を清国に還付する。
・ロシアは、清国の承認を得て、長春・旅順口間の鉄道を日本に譲る。
・ロシアはロシア沿岸の漁業権を日本に譲る
以上がポーツマス条約の内容です。
その後、明治39(1906)1月『吾輩は猫である』7,8章(ホトトギス)。『趣味の遺伝』(帝国文学)。
3月『吾輩は猫である』9章(ホトトギス)。
4月『吾が輩は猫である』10章(ホトトギス)『坊ちゃん』(ホトトギス)
5月『漾虚集』(倫敦塔・カーライル博物館・幻影の盾・一夜・薤露行・趣味の遺伝)大倉書店・服部書店。
8月『吾輩は猫である』11章(ホトトギス)。
9月『草枕』(新小説)。
10月『二百十日』(中央公論)
11月『吾輩は猫である』(中編)
明治40 1月『鶉籠』(坊ちゃん・二百十日・草枕)『野分』(ホトトギス)
・・・・・・地方を舞台にしているのは何故でしょうか?
4月 朝日新聞入社。
これらを読むとき漱石さんと孫文との関係も念頭に入れることにより、わが国の明治時代のひとびとの動きが理解できます。
『手紙』
漱石の書いた作品に『手紙』がございますが、その書き出しでモーパッサンの『二十五日間』とプレボーの『不在』を例えており、
プレボーのほうは、
≪、、、、、、パリのある避暑地へ降りて、そこの宿屋の机かなにかの上で、しきりに構想に悩みながら、何か種はないかという
ふうに、机の引出しをいちいちあけてみると、最終の底から、思いがけなく手紙が出てきた≫
と、いったものでした。
モーパッサンの『二十五日間』につきましては、作品の掲載された書物を見つけることが困難でございましたけれども、旧和歌山市
民図書館にお尋ねしました。すると、川崎氏から、
「モーパッサン全集3 春陽堂の中に「わが二十五日」といった内容で存在しております」
と、お教えいただきました。

和歌山市文化振興課 第一回 有吉佐和子文学賞 最優秀賞
『手紙』
山梨県アルプス市 日沼よしみ
@ 私(よしみ)は後期高齢者である。しかし、恋をしている。
A なあ〜んだ。恋の相手は押し入れにしまっていた手紙なんだ。
B それは、あなたとわたしの金字塔。
C 中学校の同級生。でも、高校卒業後あなたは東京に行ってしまった。
D 離れ離れの心を繋ぐ糸、それは文通で愛しあうことでした。
E 四年がすぎて、「生涯、大切にするよ」。
F それから五十年。あなたに支えられて生きてきたの。
G パーキンソン病は有吉文学の『恍惚の人』や『青い壷』に書かれているごとく、脳みその退化。
やがて歩けなくなり、人口肛門に胃ろう、でも生きれるのが幸せ。
H ついに病院からみはなされたわ。自宅で殺せというの!
I 偶然は必然。まるでこの時を選んで現れたかのような古い手紙の束を、わたしはこみ上げる
熱い思いと一緒に抱きしめました。
J こんなにも私を励まし、幸せにする贈り物が今までにあったでしょうか。
K これを二度目の恋というのでしょうか。
L 手紙を眺めるたびに「生涯、だいじにいたわるよ」とあなたの言霊が聞こえてきます。
感想文 日吉様のご主人は他界されてしまったのですか、じつは小生の妻も最近亡くなりました。
徒然なるままに生きています。
ご主人様と交わした言葉は言霊となり、いつまでも日吉様の傍でいますよ。
『手紙』の中に有吉文学のロマンを感じました。
和歌山漱石会が開かれました。(2024、7..5)
「百里を行くものは九十を半ばとす」
土山事務局長は90歳! まだ、まだ頑張ろうね
和歌山漱石会の次回開催は十一月十一日の午後二時に「有吉佐和子記念館」で、
解題は、『思い出すことなど』です。
『思い出すことなど』
@ ・つり台に 野菊も見えぬ 桐油かな
修善寺公園の碑へのリンク
・思いけり すでに幾代の きりぎりす
・「幾代」と「逝く与」の掛けことばか。
A ・逝く人に とどまる人に 来たる雁
・ただ一羽 来る夜ありけり 月の雁
「平山胃腸クリニックの前身は長与胃腸病院です」
当院の前身は1896年(明治29年)10月開設されたわが国はじめての胃腸病専門の病院・胃腸病院で、開設以来120年を超える歴史を有しています。開設者・長与称吉の父専斎は緒方洪庵門下で明治政府の医事行政に功績のあった人です。称吉は明治17年、19才でドイツに留学、消化器病学を研鑽の末ドクトルの学位を得て明治26年に帰朝、当時の日本橋本町(現在の日本銀行付近)でわが国はじめての胃腸病専門の医院を開業しました。
その後明治29年当時の麹町区内幸町(現在の千代田区内幸町)に病院を建設したのが本院のはじまりです。現院長の平山洋二は第5代目の院長で、長与専斎の曽孫にあたります。当時の建物は木造2階建ての和式の建物で、病室も畳敷きでした。
[≪、、、、、、病室は畳も青かった。ふすまも張り替えてあった。よろず居心よく整っていた。杉本副院長が再度修善寺へ診察に来たとき、畳替えをして待っています、と妻に言いおかれたことばをすぐに思いだしたほど、きれいである。≫
当時の胃腸病院の様子は、明治31年発行の風俗画報・東京名所図絵に紹介されています。司馬遼太郎の小説「坂の上の雲」に出てくる秋山真之や夏目漱石が入院したのもこの病院です。当時の胃腸病院の様子は、明治31年発行の風俗画報・東京名所図絵に紹介されています。
また、明治31年12月に本院を中心として形成された胃腸病研究会が、現在の日本消化器病学会へと発展したという歴史があり、平山胃腸クリニックは長い間わが国における胃腸病研究の中心であったのです。
本院は関東大震災の後、同所に鉄筋コンクリート3階建ての病院が再建され、さらに昭和43年、現在の
四谷に移転しました。本院は開設100年に当る1996年(平成8年)に全面改装をして
診療機器も一新されました。
平成22年4月、病棟を閉鎖し平山胃腸クリニックとして開業いたしました。そして平成28年1月、四谷再開発に伴い、大京町に移転し新たなスタートをきりました。
B長与胃腸病院長・ジェームズ教授の訃
(ジェームス教授の哲学思想が、文学の方面より見てどうおもしろいか、ここに群説する余地がないのは、余の遺憾とするところである。また、教授の深く推奨したペルグソンの著書のうち第一巻は、昨今ようやく英訳になってゾンネンシャインから出版された。)
『多元的宇宙』へのリンク
≪余の病気について、治療上いろいろ好意を表してくれた長与病院長は、余の知らない間に、いつか死んでいた。余の病中に、空爆なる余の頭に、陸離の光景を投げ込んでくれたジェームズ教授も、余の知らない間にいつか死んでいた。二人に謝すべき余は、ただひとり生きのこっている。≫
・菊の雨 われに閑ある 病かな
・菊の色 縁にいまだし このあした
C 池辺三山君に送った詩
新詩を遺却して尋ねるに処無し 搭然マドを隔てて遙林に対す 斜陽径に径て僧を照らして遠のく 黄葉の一村寺を蔵めて深し 偈を壁間に懸くるは仏を益焚く意 雲を天上に見るh事を抱く心 人間至楽江湖に老ゆ 犬吠鶏鳴共に好音
,、、、、、巧掘は論外として、病院にいる世が窓から寺をノ望むわけでもなし、まて室内に事を置く必要もないから、この詩はまったくの実況に反しているには違いないが、ただ当時の余の気持ちを詠じたものとしては、すこぶるかっこうである。
D 明治四十三年九月二十五日
・秋の江に 打ち込む杭の 響きかな
・秋の空 浅黄の澄めり 杉に斧
・秋風や からくれないの のどぼとけ
風流 人 いまだ死せず 病裡 清閑を領す 日日 山中の事 朝朝 碧山を見る
E もうすぐ死んでゆくみなさまへ
作品へのリンク
沈徳潜『国家六家の序には、乾隆丁亥夏五長州沈徳潜書す、時に年九十五、と、わざわざ断ってある。
長生きのけっこうなことはいうまでもない。長生きをして、この二人のように頭がたしかに使えるのは、なおさらめでたい。不惑のよわいを越すとまもなく死のうとして、わずかに助かった余は、これからいつまで生きられるか、もとよりわからない。思うに一日生きれば一日のけっこうで、二日生きれば二日のけっこうであろう。そのうえ頭が使えたら、なおありがたいといわなければなるまい。
生き延びた自分を祝い、遠く逝く人を悲しみ、友をなつかしみ、敵を憎んで、内輪だけの活計に甘んじて得意にその日を渡るわけにはいくまい。、、、、、、種族保存のためには、個々の滅亡を意とせぬのが、進化論の原則である。、、、、、、人間の生死も、人間を本意とするわれらからいえば大事件に相違ないが、巡査どもに該当すれば、しばらく立場をかえて、自分が自然になりすました気分で観察したら、ただ至当のなりゆきで、そこに喜び、そこに悲しむ理屈はごうも存在していないだろう。
・あるほどの 菊投げ入れよ 棺の中
「十一月十五日(火)、大塚楠緒の死を悼んで、記す、他にも「棺には菊投げ入れよ有らん程」がある。
Fウォードの社会学.・大塚楠緒へのリンク
G 明治43年9月22日
圓覺曾參棒喝禪 瞎兒何處觸機縁 山不拒庸人骨 囘首九原月在天
円覚に曾(か)って参じぬ 棒喝(ぼうかつ)の禅、 瞎児(かつじ)は何処(いづこ)にか 機縁に触れん。 青山は拒まず 庸人(ようじん)の骨を、
首(こうべ)を九原(きゅうげん)に回(めぐら)せば 月 天に在り。
曾って私は、円覚寺に出向いて臨済のきびしい禅風に参じたものである。
私は、瞎児同然血のめぐりが悪いので、どこへいってもさとりの機縁に恵まれなかった。
しかし、人間の行きつく場といわれる墓地は、この煩悩具足の凡夫である私ごときものの骨でさえ受け入れて下さるべく待ちかまえている。
つらつら懐(おも)うのに、彼の闇(くら)いはずの黄泉(よみじ)が、どうしたことか、皓々(こうこう)たる月が天に輝いているかのように思えてくる。
H
≪、、、、、また、記憶をさかさまに向け直して、あともどりをした。≫
「八月五日(土)、転地療養のため、午前十一時、新橋停車場初の汽車(神戸行。普通)で一人で、修善寺温泉に赴く。(松根東洋城に勧められる。)北白川宮の御用掛をしている松根東洋城は、一汽車遅れるという(午後一時十分新橋停車場発。浜松行。普通)という連絡があったので、御殿場で待ち合わせる(松根東洋城の1等切符代三円九十六銭の払い戻しを受ける)。構内で、外人の通訳をしてやろうと思ったが、咽喉を痛めて、声が出ない。なんとか駅員の助けをかりてようやくのことこの大男を無事に京都へ送り届けたこととは思うが、その時の深井感はいまだに忘れない。(この話は鏡が語ったものを伸六が伝えたもの。)三島で四十分待ち合わせ、大仁に赴く。(明治四十三年八月、「鉄道時刻表」によると)、午後一時十分新橋停車場発は、午後五時五十六分三島着。それから六時四十五分(約五十分待ち合わせ)の射ず鉄道大仁行に乗車。七時四十二分大仁着。日が暮れ、雨が本降りになる。3台の車で菊屋別館に着く。入浴。夕食。(石井町子看護婦の世話を受けている。石井町子は、修善寺から長与胃腸病院戻り、退院するまで付き添う。)」
I
・病んで夢む 天の川より 川水かな
「八月五日(木)九時半驟u雨一過する。『それから』やっと結末にちかづく。
J
・風に聞け いずれかさきに 散る木の葉
修善寺から(九月十一日 夏目鏡子・恆子・栄子あて)
八月十一日。
けさ御前たちから呉れた手紙を読みました。三人とも御父さまの事を心ぱいしてくれて嬉しく思います。この間はわざわざ修善寺まで見舞に来てくれてありがとう。びょう気で 口がきけなかったから御前たちの顔を見ただけです。この頃は大分よくなりました。今に東京へ帰ったらみんなであそびましょう。御母さまも御出です。るすのうちはおとなしく
して御祖母さまのいうことをきかなくってはいけません。御祖母さまや、御ふささんや、御梅さんや清によろしく。今ここに野上さんと小宮さんが来ています。東京へついでの
あった時修善寺の御みやげをみんなに送ってあげます。さようなら。
筆子
恒子 へ
えい子
K
・萩に置く露の重きに病む身かな
横になったまま、初秋の空を夜半近くまで見守っていた。そうして、忘れるべからざる二十四日の来るのを、無意識に待っていた。←(二十四日に何があったのか)
L9月二十四日(土)、坂元雪鳥、杉村楚人冠来る。午後髭を剃り、髪を櫛り、脱便、衣服を着かえ、坂元雪鳥の持ってきた新しい毛布をかける。宮本淑博士、杉本東造医師来診。観光団が終夜騒がしい。そのためにか、眠られぬ。 (「漱石研究年表」から抜粋)このことか→≪Kに、裸連の一部は、霜座敷にもいた。すべてで九人いるので、みずから九人組ともとなえていた。その九人組が丸裸になって、幅六尺の縁側へ出て踊りをおどって、一晩はねまわった。便所へ行く必要があって、障子の外へでたら、九人組はおどりくたびれて、素裸のまま縁側にあぐらをかいていた。余はじゃまになる尻や脛の間をまたいで、用をたしてきた。≫
九月二十四日(土)、坂本雪鳥、杉村楚人冠来る。午後髭を剃り、脱便、衣服を着替え、坂本雪鳥の持ってきた新しい毛布をかける。宮本淑博士、杉本東造医師来診。観光団が終夜騒がしい。そのためにか、眠られぬ。
かく大量の血を一度に吐いた余は、その暮がたの光景から、日のない真夜中を通して、あくる日の天明にいたるありさまを巨細残らず記憶している気でいた。ほどへて、妻の心覚えに漬けていた日記を読んでみて、その中に、ノウヒンケツ(ろうばいした妻はかくのごとく書いている)をお越し、人事不省に陥る、とあるのに気がついてとき、余は妻をまくらべに呼んで、当時の模様を詳しく聞くことができた。←『漱石の想い出』に鏡の回想文が収録。Jのリンクをどうぞ
淋漓絳血腹中文 淋漓《りんり》たる絳血《こうけつ》(深紅の血)
腹中の文《ぶん》
嘔照黄昏漾綺紋 嘔いて黄昏を照らして 綺紋《きもん》を
漾《ただよ》わす
入夜空疑身是骨 夜に入りて空しく疑ふ
身は是れ骨かと
臥牀如石夢寒雲 臥牀 石の如く 寒雲を夢む
(「腹中の文」というのが、この詩のキーワードのような気がするが、、多義的に思える。まだ、描き足りない小説や彼の思いのように取れるし、「絳血」の末にたどり着いた漱石さんの新境地か。)
M
・ひややかな脈を守りぬ夜明けがた
すると、床の上につるした電気灯が」ぐらぐらと動いた。ガラスの中に湾曲した一本の先が、線香花火のように、とくきらめいた。余は生まれてから、このときほど強く、また怖ろしく光力を感じたことがなかった。そのとっさのせつなにすら、いなずまをひとみに焼き付けるとはこれだ、と思った。そきに、突然電気灯が消えて、気が遠くなった。
カンフル、カンフルという杉本さんの声が聞こえた。・・・・・・(略)・・・・・・はたがひとしきり静かになった。余の左右の手首は、ふたりの医師に絶えずにぎられていた。その二人は、目をとじている余を中にはさんで、下のような話をした。(その単語はことごとくドイツ語であった)。
「Schwach]
「Ja」
「wahr schein lich nicht 」
「Ja」
「Was,i st, wenn ich ein kind
treffe ?」
N
縹渺玄黄外 縹渺たる玄黄の外 *はるけくもうつろなる天地の外にて(鏡「左様ぢゃありません、あの時三十分ほどは死んでいらしったんです」
死生交謝時 死生交ごも謝する時 *死と生が二面対象の、いかにも急劇で没交渉なのに深く感じた。
寄託冥然去 寄託冥然として去り *寄託とは漱石の拠りどころがなくなったようである。
我心何所之 我が心何んの之く所ぞ *余は何処へ行くのやら。
帰来覓命根 帰来命根を覓む *三十分の絶望から帰り来て、命の基を求めた。
杳?竟難知 杳よう竟に知りがたし *おぼろげだったので遂になにがあったのか分からない。
孤秋空遶夢 孤秋空しく秋を遶り *一人孤独な秋の空えを遶る。
宛動蕭瑟悲 宛として蕭瑟の悲しみを動かす *蕭瑟→秋風の声、物寂しいさま『幻の盾』に寥廓なる天の下、蕭瑟なる林の裏、とある。
江山秋己老 江山秋すでに老い *紅葉した山は秋の深さを思います。
粥薬鬢将衰 粥薬鬢将に衰えんとす *粥薬→かゆとくすり、(随書、公孫景茂染傅)景茂捐俸粥薬。(宋史、李煕靖傅)家人進粥薬。
高樹獨餘枝 高樹獨り枝を餘す *高木の葉は散り、小枝をのこしている。
晩懐如此澹 晩懐かくの如く澹に *年老いての感懐ははこんな澹なる風貌よ
風路入詩遅 風路詩にいること遅し *眼前の風物はとてもすぐれている。
明治四十三年4月
Living outside the vast and hollow
heaven and earth.
I felt a deep sense of sudden disconnection
between life and death, with these two opposing
forces at odds..
I feel like I have nowhere left to
turn..
Where am I going from now on?
I woke up after 30 minutes of unconsciousness
and searched for the source of life.。
I was so distracted I didn't know what
was going on.
Running through the lonely autumn sky.
It's like the voice of autumn is calling
out to sadness.
Withered leaves suggest the deepening
of autumn.
Porridge and chemotherapy weaken the
body.
The leaves of the tall trees fall,
leaving only the twigs.
Looks like an old man.
Is it time to turn the wind and dew
into poetry?
【南方熊楠の体験談】
ここに、熊楠と文通を通して議論の相手となった真言宗の僧都、土宜宝龍(1854〜1923)に宛てた書簡(1904年6月21日)に、臨死体験に関する一文を紹介してみたい。(当時、熊楠は漱石とも親交のある杉村楚人館に『三年前の反吐ー隠れたる世界的の大学者』(1909)に活字にされ、熊楠伝説が流布されていた。
≪ひとが死んだあとも存続するものがあります。わたしも柔術などで気絶し、しばらくして活を入れられて蘇ったことがあります。〔いろいろな人に〕そのときの状況を聞いてくらべると、たいてい自分のと同じなのです。川原のような所を歩いており、悠々自適、なんの気がかりもなく小唄でも出そうになります。はるかうしろから、確かに呼ばれていると、思ってようやく気づくものなのです。もっとも川原を歩いたことがないひとは、そんなふうに思わないのかもしれません。しかし、だいたい同じだろうと思います。また魂遊というものがあります。わたしも今春、自身でこれを体験しました。糸で自分の頭をつなぎ俗にいうろくろ首のように、部屋の外に遊び、そのありさまを見るものでした。このこともまた寒さの厳しい山中などで、〔ひとびとに〕こうした話を聞き聞き合わせると、誰もが同じでした。≫(『和歌山市立博物館研究紀要』)
)
O
八月二十五日 鏡子の日記
朝容態聞ケバキケンナレドゴク安静二シテ居レバモチナオスカモ知レヌト言ウ 杉本氏帰ル東京ノ家ノ東カラ電話がカカリ今朝一番デ夏目兄上高田姉上御夫婦子供三人高浜さん森田さん中根倫さんがお立ちになりましたと言ウ 大塚さん大磯から来ラル 安部さんも来てクレル 一汽車オクレテ野村さんも来ル 池辺氏も来ラル
実際、余と余の妻とは、生存競争のからい空気が、じかに通わない山の底に住んでいたのである。
・露けさの里にて静かなる病
P
オリバー・ロッジへのリンクThis book is a very conscious sttemt to
precent the sometimes intangible and complicated
facts and communicating with the spirit of
his son simply and concretely.
色即是空 :*心霊現象研究の潮流の兆しとしては明治末年、南方熊楠、夏目漱石、柳宋悦らが早くもスピリチュアリズムに関心を示していた。漱石
は『行人』でもメーテルリングの論文を讀んで、不通のスピリチュアル同様つまらない、と記している。同じ頃、学者生命を賭けて心霊現象を追及していた
福来友吉が東大教授を追われたのは大正二年のことである。日本心霊現象の萌芽期といってよい。
・ おおいなるものは小さいものを含んで、その小さいものに気がついているが、含まれたる小さいものは自分の存在を知るばかりで、おのれらの寄り集まってこしらえている全部に対しては、風馬牛のごとくむとんじゃくであるとは、ゼームスが意識の内容を解き放したり、また結び合わせたりして得た結論である。
・迎い火をたいてたれ待つ絽の羽織
Q
・朝寒や生きたる骨を動かさず
R
・四十を越した男、自然に淘汰せられんとした男、さしたる過去を持たぬ男に、忙しい世が、これほど手間と、時間と、親切をかけてくれようとは、夢にも待ち受けなかった余は、病に行きかえるとともに、心に生き返った。余は病に謝した。また、余のtsめにこれほどのの手間と、時間と、親切を惜しまざる人々に謝した。そうして、願わくは善良な人間になりたい、と考えた。そうして、この幸福な考えをわれにうちこわす者を、永久の敵とすべく、心に誓った。
馬上年老, 鏡中白髮新。 幸生天子國, 願作太平民。
・馬上青年老い
・鏡中白髮新なり
・幸ひに天子の国に生まれ
・願はくは太平の民とならん
S
仰臥人如亞, 默然見大空。 大空雲不動, 終日杳相同。
・仰臥して人あのごとくとし
・黙然として大空を見る
・大空雲も動かず
・終日杳として相ひ同じ
余は仰向けに得て詞の喋れないもののごとしである。無言で大空を見ている。大空の雲は不動。一日中同じ景色である。
22
ドストエフスキーへのリンク
≪同じドストエフスキーもまた、死の門口まで引きずられながら、かろうじてあともどりすることのできた幸福な人である。けれども彼の命をあやめにかかった災いは、余の場合におけるがごとき悪辣な病気ではなかった。彼は人の手に作りあげられた方という機械の敵となって、どんと心臓を打ちぬかれようとしたのである。≫
秋風鳴万木 秋風 万木を鳴らし 秋の風は沢山の木々をざわめかせ
山雨撼高楼 山雨高楼をゆるがす 山の雨は この高楼をゆさぶる
病骨稜如剣 病骨こつ稜として 剣の如し 病んでいる私の骨は 剣が突き出ようとしているようだ
一灯青欲愁 一灯青くして 愁えんと欲す 部屋の一本の灯は青く燃えて 私を憐れんでいる
(前半2句) 烈しい雨風。心境の例えになっている。不安感を表す。 唐の詩人 許渾の「感陽城の東楼」(・・・・・山雨来らんと欲して 風 楼に満つ)を踏まえている。
(後半2句) 病の床に伏している自分自身の事を言っている。
23 「俺は職務に忠実でね」
義務と好意---電車に乗って一区をまたたく間に走るよりも、人の背に負われて浅瀬を越した方が情けが深い。
・義務− 仕事に忠実なる意味で、人間を相手にとったことばでもなんでもない。
・好意− 相手の所作が一挙一動ことごとく自分を目的にして働いてくるので、生き物の自分にその一挙一動がことごとくこたえる。そこに互いに手をつなぐ暖かい糸 があって、機械的な世をたのもしく思わせる。
・明治の青年と経済批判
≪今の青年は、筆をとっても、口をあいても、身を動かしても、ことごとく「自我の主張」を根本義にしている。それほど世の中は切り詰められたのである。それほど世の中は青年を虐待しているのである。「自我の主張」を正面から承れば、こにくらしい申しぶんが多い。けれども彼らをしてこの「自我の主張」をあえてしてはばかるところなきまでに押し詰めたものは、今の世間である。ことに、今の経済事情である。「自我の主張」の裏には、首をくくったり、身を投げたりすると同程度に、悲惨な煩悶が含まれている。ニーチェは弱い男であった。多病な人であった。そうして、ツァラトゥストラはかくのごとく叫んだのである。≫
へのリンク
.jpg)
≪医師は職業である。看護婦も職業である。礼もとれば、報酬も受ける。ただで世話をしていないことはもちろんである。かれらをもって、単に金銭をうるがゆえに、その義務に忠実なると解釈すれば、まことに機械的で、実も蓋もない話である。。けれども、かれらの義務のうちに、半分の好意を吹き込んで、それを病人の目から透かしてみたら、かれらの所作がどれほど尊くなるかわからない。病人はかれらのもたらす一点の好意によって、急に生きてくるあらである。≫
天下自多事、被吹天下風。 高秋悲鬢白、衰病夢顔紅。 送鳥天無盡、看雲道不窮。 残存吾骨貴、慎勿妄磨?。
世の中には大小軽重の色々な事が沢山ある。 その色々な事が世に影響を与えている。
雲高く晴れた秋に耳際の髪が白いのを悲しみ、病み衰えては若き日の夢を見る。
鳥を見送り、空は果てしないと感じ、雲を見て、道が極まりなきことを思う。
今私が生きていることは誠に貴い、 行いを慎み、身を損なわないようにしよう。
明治43年10月6日
24
In general, dogs sleep about 12-14 hours
per day.
≪余はこの気味の悪い心持を抱いて、目をあけるとともに、ぼんやりとひとみに映るへやの天井をながめた。そうして、黒い布の織り目から漏れてくる光に照らされた白い着物を着た女を見た。見たか見ないうちに、白い着物が動いて、余に近づいてきた。
明治43年9月20日 粥・ビスケット・オートミルをうまいと思う。午後4時過ぎ通便あり、初めて通常に近き色になる。昨年から読み始めた『多元的宇宙』を読み終わる。鏡で顔を見る。右の足の骨と尻が痛み、手がしびれ、目が覚めることが度度である。看護婦がその度に起きてくれる。
9月24日坂元雷鳥、杉村楚人冠来る。観光団が終夜騒がしい。そのためにか、眠られぬ。
秋露下南間。 黄花粲照顔。 欲行沿澗遠。 却得与雲還。
秋の露は南の谷に落ちて行き、 菊の花は、燦々として我が顔を照らす。
谷に沿って遠くに行こうと思ったが、 却って、雲と供に帰って来ることになった。
25
傷心秋已到。 嘔血骨猶存。
病起期何日。 夕陽還一村。
傷心 秋 已(すで)に到り
嘔血 骨 猶お存す
病起 何(いず)れの日を期せん
夕陽(せきよう) 還(ま)た一村
10月7日
修善寺の菊谷本館中庭(旧本館)二階で静養した漱石が時折眺めた庭
(七十数年前の絵葉書より松岡正剛博士の漢詩へのリンク
27
腸に春したたるや粥の味きx
.jpg)
≪余は五十グラムの葛湯くずゆを恭しく飲んだ。そうして左右の腕に朝夕二回ずつの注射を受けた。腕は両方とも針の痕あとで埋まっていた。医師は余に今日はどっちの腕にするかと聞いた。余はどっちにもしたくなかった。薬液を皿に溶いたり、それを注射器に吸い込ましたり、針を丁寧に拭ったり、針の先に泡のように細かい薬を吹かして眺めたりする注射の準備ははなはだ物ものぎれいで心持が好いけれども、その針を腕にぐさと刺して、そこへ無理に薬を注射するのは不愉快でたまらなかった。余は医師に全体その鳶色の液は何だと聞いた。森成さんはブンベルンとかブンメルンとか答えて、遠慮なく余の腕を痛がらせた。≫
●断食ダイエット後の殺人*****
長い断食を終えてから最初の日にいきなり腹に粥を詰め込んで死ぬような恐れは医療従事者ならば周知のことであろう。まして、エビフライを強引に食べさせる人間もおかしい。それを病院ぐるみで隠蔽したのも不可思議である。よく咽喉がつまったり、「脾が裂けたり」するそうである。医者がこういう死人を解剖してみると、喉もとまで粥ばかりつまっているということである。しかし、なんといっても、発せられる言葉は黄金である。このことはドストエフスキーの『作家の日記』の中にも書いていました。
和歌山県立医科大学第76回 篤解剖体慰霊祭のへのリンク
28
客夢回時一鳥鳴。 夜来山雨暁来晴。
孤峯頂上孤松色。 早映紅暾欝々明。
The dreaming traveler awakens to one bird singing,
Mountain rain from last night clears at daybreak.
On the peak of a lone ridge,shadow of a pine,
All its leaves lucentinthe early crimson morning.
客夢回(かえ)る時一鳥鳴く
夜来の山雨 暁来(ぎょうらい)晴る
孤峯頂上 孤松の色
早く紅暾(こうとん)に映じて欝欝と明らかなり
◆この詩に続けて次のような句も詠んでいる。
足腰の立たぬ案山子を車かな
いよいよ帰京となった翌11日はあいにくの雨ではあった。
長逗留となった修善寺菊屋の二階から白布で蔽われた「橇の如きもの」に載せられそのまま馬車に乗せられたさまを「わが第一の葬式の如し」と11日の日記には書いているが、陰気ではない。帰京後そのまま長与病院に入院となる段取りも承知だが、詩も俳句も諧謔の気分といえるだろう。
この日1910年10月10日月曜日の修善寺は朝焼けののち曇り。
「明日東京に帰ると思うと嬉しい。」
29
夢繞星黄滋露幽。 夜分形影暗灯愁。
旗亭病近修禅寺。 一幌疎鐘已九秋。
My dreams involve flying through the Milky
Way in mystical silence..
In the middle of the night, my body and mind
are as dark as a lantern..
The distance from Kikuya Ryokan to Shuzenji
is short..
Through the closed curtains of the window,
the sound of the temple bells can be heard
from time to time, like the chirping of crickets.
Autumn has already arrived.
夢は星こうをめぐりて げんろ幽なり
夜分の形影 暗燈憂う
旗亭病んで近し修禅寺
一幌の疎鐘 已に九秋
・私の夢は天の川を駈け廻り露がしたたり神秘手にである。
・夜半わが身と心は暗燈のごとき愁いである。
・酒屋(菊屋)で病んで修善寺に近いことだ。
・カーテンを張った窓からまばらにきこゆ鐘の音、すでに秋ですな。

≪もっとも夜は長くなる頃であった。暑さもしだいに過ぎて、雨の降る日はセルに羽織を重ねるか、思い切って朝から袷を着るかしなければ、肌寒はださむを防ぐたよりとならなかった時節である。山の端に落ち込む日は、常の短かい日よりもなおの事短かく昼を端折はしおって、灯は容易についた。そうして夜は中々明けなかった。余はじりじりと昼に食い入る夜長を夜ごとに恐れた。眼が開くときっと夜であった。これから何時間ぐらいこうしてしんと夜の中に生きながら埋もっている事かと思うと、我ながらわが病気に堪えられなかった。新らしい天井と、新らしい柱と、新らしい障子を見つめるに堪えなかった。真白な絹に書いた大きな字の懸物には最も堪えなかった。ああ早く夜が明けてくれればいいのにと思った。≫
≪修禅寺の太鼓はこの時にどんと鳴るのである。そうしてことさらに余を待ち遠しがらせるごとくまばらな間隔を取って、暗い夜をぽつりぽつりと縫い始める。それが五分と経ち七分と経つうちに、しだいに調子づいて、ついに夕立の雨滴よりも繁しげく逼って来る変化は、余から云うともう日の出に間もないと云う報知であった。太鼓を打ち切ってしばらくののちに、看護婦がやっと起きて室の廊下の所だけ雨戸を開けてくれるのは何よりも嬉しかった。外はいつでも薄暗く見えた。≫
30
日似三春永。 心随野水空。
牀頭花一片。 閑落小眠中。
日は三春に似って永く
心は野水に随って空し
牀頭花一片
閑の落つ小眠の中
Even though it's October 1st, the sunlight
is so long it feels like March..
My heart is empty, just like the water in
the river is empty..
There is a flower by my bed.
As I was dozing off, a petal seemed to fall.
・日は一〇月一日、春三月のように長く
・心は野水に随うって空虚である
・床頭に花一片
・犬の眠り中ポトリと花ビラがおちたようだ
≪桂川の岸伝いに行くといくらでも咲いているというコスモスも時々病室を照らした。コスモスはすべての中で最も単簡で且つ長くもった。余はその薄くて規則正しい花弁と、空に浮 かんだように超然と取り合わぬ咲具合を見て、コスモスは干菓子に似ていると評した。なぜですかと聞いたものがあった。範頼の墓守の作ったという菊を分けて貰って来たのはそれからよほど後のことである。墓守は鉢に植えた菊を貸してあげようかといったそうである。この墓守の顔も見たかった。しまいには畠山の城址からあけびというものを取って来て瓶に挿んだ。それは色の褪めた茄子の色をしていた。そうしてその一つを鳥がつついて空ろにしていたーーー瓶に挿す草と花がしだいに変わるうちに季節はようやく深い秋に入った。≫
31
――白髪と人生の間に迷うものは若い人たちから見たらおかしいに違ない。けれども彼等若い人達にもやがて墓と浮世の間に立って去就を決しかねる時期が来るだろう。
It may seem amusing to see people rememberinng
thir youth when they get older, but what
can be said about young people today is that
the day will sutely came when they will have
to struggle between the grave and this world.
When I lived in England a long time ago,
I stood in the town hating England just as
Heine did, and today, as I left Shuzenji,
I also stood in the same gray air.

1997july17 Flight800.jpg)
She was arrested on suspicion of knowingly
puttingarsenic (As) in food served to customers.
Her husband and his mahjong friends were among the victims.
They were pre-insured by her but got sick
or died after eating.and what does this have
to do with Cary and Rice Muder?
In the kitchen, a plastic container was found
with arsenic (As) on the surface (hereafter
referred to as sample F).【X-Ray Spectrometry
】
It was because her husband was a professional
exterminator of white ants.
He bought arsenic (As) in green drums [specimen
A] imported from China from N around 1983.
Sample A was then divided and used five times
over the next 15 years,
They were then housed with their relatives
and friends (Mr M and Mr T).
The Wakayama police seized a total of eight
arsenic (As) as evidence,
.jpg)

【Logarithmic Tricks】
・Assistant Professor Yamauchi, who was requested
by the National Research Institute of Police
Science, was told that he had multiplied
the figures by 1 million and performed logarithmic
calculations.
・This uses a calculation method that makes
large and small objects look the same.
Logarithms, which most people will have forgotten,
were taught in high school maths.

正確に言うと2を底とする8の対数は3(2を3乗すると8)、2を底とする5の対数はlog25(2をlog25乗すると5)となりますね。
逆に考えると、2log25=5とも書くことができます.。
logはどんな対数も表現できるすごい記号なんです!こんな便利なlogですが使うときには注意が必要で、
X=logabについて、底aは0<aかつa≠1を満たす必要があります。また、b>0も満たさなければなりません(真数条件)。
対数logの重要公式について

@logAAm=mについて
これは、(ア)底と真数が同じ値ならばその対数は1となる性質と、(イ)真数の指数はlogの前に出すことができる性質を利用したものです。
(ア)の例を挙げるとlog22=1となります。どんな数を1乗しても値は変わりませんから当然ですね。(イ)の例を挙げるとlog234=4log23となります。
真数に累乗がついていたら、それをlogの前に持ってこれるということですね!
@AB
この三つの性質はそれぞれ、1乗するとそのまま、0乗すると1になる、-1乗すると分数になるという性質からきていますね。
D、Eの性質は非常に重要です。
logの真数が掛け算で表されていたらそれぞれ足し算に分けることができ、真数が割り算で表されていたらそれぞれ引き算に
直すことができます。証明は省略しますが、対数の計算などで非常によく出てくるので確実に押さえましょう!
FこれはB,Eを応用したものです。
G真数の累乗はlogの前に出せる性質を応用したものです。
Hと表すことができることからきています。
IJこれらは、底の変換公式という非常に重要な公式です。
こちらも証明は省略しますが、この二つの式を使うと自由に底を変換できるので、計算問題などで大活躍しますよ!
logの定義と@DEIを押さえておけばどの式も導けるようになるので、各自で使い方などを練習してみてくださいね!
https://juken-mikata.net/参照してください。
I have a liberal arts college education,Log
10 = 1, Log 100 = 10, Log 1000 = 3. A 10-fold
difference can only be understood as a logarithmic
difference of 1.Professor Kawai noted that
they continued to equate the National Police
Science Research Institute's various arsenic
acids with logarithmic rhetoric.
In other words, raw data.@Several arsenic
acids were found in Hayashi's house.AIn
their logarithmic rhetoric, this differs
from the values of arsenite.This has already
been explained in detail in the 2016 Quarterly
Journal of Criminal Defence (no. 80p. 164).
First, the amount of sample (sample F)
on the plastic ontainer is too small.
This was not possible with the conventional
analysis techniques of the National Research Institute of Science
and Police of the National Police Agency.
Another was the failure to sample arsenic
(As), which the police had assumed was contained
in the cooked curry rice [Sample 1].
The third is a section on possible arsenic
elements.and it is therefore suitable for
identification.
JCP-AES results on sample G. [arsenic in
papercups] and A-E.that had enough quantity.
.警察庁科学警察研究所が実施したものである。It
was conducted by the National Research Institute
of Police Science.
As a result, their suggestion
Based on the quantitative data for Se, Sn,
Sb, Pb and Bi, it is reasonable to assume
that G and A-E are of the same origin.
[Seセレン] 「Snスズ] [Pb鉛] [Biビスマス]
However, Sample I (curry) and Sample F (plastic
container oft the defedant's kichitin) could
not be Analysed.
As sample I is the cause of the murder, analysis
of I and F is essential.The only evidence
linking the defendant to arsenic is the evidence
in F.
The offence was considered to be unsolvable
if the specimens I and F were not identified,
which was not the case,
Although there was circumstantial evidence
of a crime.
After that, The Public Prosecutor's office
asked me to identify these samples.
As noted above,
ICP-AES analysis revealed the following
contained 35-62 pomBi [A-E and G].(『鑑定不正』図表5科研丸茂鑑定書結果)
第35回公判で科警研鈴木真一技官の証人尋問調書(200年7月14日)pp、43−44においてCの濃度が訂正された。
[Seセレン] 「Snスズ][Sbアンチモン] [Pb鉛]
[Biビスマス]
1998年12月の中井Spring8鑑定のすこし前に行われた科警研鑑定では、証拠亜ヒ酸A〜E
とGに含まれる元素Na,Mg,Al, Si,P,Cr,Mn,Fe,Se,Sn,Sb,Pb,Bi,As,Caを
セイコーインスツルメンツ社製ICP-AES装置で最初に1回分析し、A〜Eについては「外界由来の汚染や、他の物質の添加による変動が予想された元素を除いたSe,
Sn,Sb,Bi」を指標元素としてさらに4回試料採取を繰り返して分析し、異同識別鑑定を行った。科捜研は澱粉なども鑑定したが、ヨウ素デンプン反応と赤外線吸収分光
による澱粉の有無が一致せず、鑑定書の記載ミスなのか、本当に不一致だったのか否かは明らかではない。
.png)
Samples [A-E and G] were found to contain
35-62 mm Bi by ICP-AES analysis as mentioned above
.Detailed below at p, 62.
Prof Nakai cannot select the best line of
synchrotron radiation facilities without
knowing the impurity elements [Se, Sn, Sb,
Pb, Bi].
Detailed below at p,64.
This is true. We chose the Spring-8 BLO8W
to analyse Bi based on the K-line. p.64
Professor Nakai says this is because he was
able to pre-study and then continue analysing
in Spring 8.
Therefore, the Nakai civil trial court comment
‘The only thing I referred to in the forensic
examination was the fact that the Bi was
detected’
is fictitious.
・以上が、『和歌山カレーヒ素事件判決に見る裁判官の不正』 河合 潤 著 の内容です。
1970年代以来、ビスマスは、水道管から釣り錘、はんだ、弾丸まで、鉛の代替品
としてますます使用されてきました。 鉛フリーのプラズマテレビやプラズマディスプレイにもビスマスが組み込まれています。
44.5%の鉛および55.5%のビスマスを含有する鉛ビスマス共晶(LBE)合金が、いくつかの原子炉における冷却材として
使用されている。最終用途の範囲にもかかわらず、冶金学的用途は、ビスマスの年間総需要の約3分の1しか占めていない。
ビスマスの化学物質は、
医薬品(硝酸塩および炭酸塩)、化粧品(オキシ塩化ビスマス)および色素産業(サブサリチル酸ビスマス)で大量に使用。
ビスマスは原子番号83,質量数208の(半)金属元素である.和名でと呼ばれる通り,く美しい結晶を持ち,レアメタルでありながら安価で入手可能である.
ビスマス化合物は日本薬局方に収載されており,次硝酸ビスマスおよび次没食子酸ビスマスはともに剤・剤などの医療用医薬品としても使用されている.
ビスマスは,周期表上で隣接しているヒ素,アンチモン,スズや鉛と比較して毒性が低いものと考えられているが,
有機ビスマス化合物のなかには強い細胞毒性を有するものも存在する.
例えば藤原らは,合成した7種類の有機ビスマス化合物の細胞毒性を評価したところ,特定の構造を有するトリフェニルビスマス誘導体が
細胞種に選択的な毒性を示すことを見いだした.
興味深いことに,このビスマスを同族のアンチモンに置換した化合物では,その細胞毒性は消失した.
有機ビスマス/アンチモン化合物ではその毒性の傾向が無機元素とは逆転することも示されており,その毒性は必ずしも中心金属だけに依存しない.
このような強い細胞毒性を有する有機ビスマス化合物は,抗がん剤としての活用も期待されている.
Chanらは,3種類のジチオカルバメート−ビスマス(V)錯体(図1)を合成して,ヒト乳がん上皮細胞MCF-7に対する細胞毒性を比較解析した結果を報告している.
合成したいずれのビスマス錯体も,肺がん細胞MCF-7に対して強い傷害性を示し(IC50:1.07〜25.37μM),
これは既存の抗がん剤シスプラチン(IC50:30.53μM)より強いものであった.
ビスマス錯体はユビキチン−プロテアソームの阻害作用を示すことで,カスパーゼ-7の活性化を介したアポトーシスが,その機構の一端を担うことが示唆された.
この作用は,無機ビスマスや配位子ジチオカルバメートより強い作用を有しており,ジチオカルバメート−ビスマス錯体の細胞毒性は
,錯体構造の構築によって発現することが示唆される.特に,配位子末端(R基)の種類だけでなく,チオール基のキレート作用が分子間相互作用にも影響して,
これらが錯体分子の溶解性と脂溶性の向上および細胞内の標的分子へのビスマスの輸送に関与することが示唆される.
なお,本稿は下記の文献に基づいて,その研究成果を紹介するものである.
1) Fujiwara Y. et al., J. Health Sci., 51, 333-340(2005).
2) Goncalves A. et al., Int. J. Mol. Sci., 25, 1600(2024).
3) Chan P. F. et al., J. Biol. Inorg. Chem., 29, 217-241(2024).
Natsume SMseki's novel Until the Other Shore is made up of several short stories.
The main plot outline is as follows:
It depicts the daily life of KeitarM Tagawa, a young man seeking employment. Having graduated from university, he is unable to secure steady work. Through his interactions with fellow lodgers such as Morimoto, KeitarM glimpses aspects of society and life.
He becomes embroiled in his friend's affairs: Through his university friend IchizM Sunaga, a wealthy young man, KeitarM is asked by Sunaga's uncle Taguchi, a businessman, to follow and investigate a certain individual.
Sunaga's romantic troubles with his cousin Chiyoko: The woman he encounters during the investigation is Chiyoko, Sunaga's cousin and betrothed. The narrative then shifts its focus to the complex and indecisive romantic relationship between the introverted and self-conscious Sunaga and the proactive and pure-hearted Chiyoko.
The Background to Sunaga's Torment: Sunaga's refusal to marry Chiyoko stems from the secrets surrounding his birth and inner turmoil, as revealed by relatives such as Matsumoto.
Inner Journey and Conclusion: Initially yearning for adventure abroad, Keitaro ends up exploring his friend Sunaga's inner world. As the story draws to a close, Sunaga embarks on a solitary journey, showing signs of breaking free from his introverted self and beginning to take an interest in the wider world.
This work is the first instalment of Soseki's 'Late Trilogy', depicting the anguish of modern intellectuals who are overwhelmed by self-consciousness and complex human relationships. It tells the story of the romance between an indecisive man and an innocent woman.
Translated with DeepL.com (free version).
| 登場人物 | 居住地(エリア) | 主な役割 |
| 田川 敬太朗 | 本郷台町 (下宿) | 物語前半の主人公。市電で神田方面へ移動。 |
| 須永 市蔵 | 神田小川町近辺 | 敬太朗の友人。市電停留所の近くに住む。 |
| 田口 | 神田小川町近辺 | 須永の叔父。敬太朗の就職を仲介。 |
| 松本 | 小川町から尾行した先 | 田口の義弟。「三田方面」からの市電で小川町に来る。 |
| 接続区間 | 意味合い |
| 本郷 ? 神田小川町 | 敬太朗の通勤・用件ルート:敬太朗が下宿から、須永や田口に会うために利用する日常的なルート。 |
| 三田方面 ? 神田小川町 | 松本の登場ルート:松本(探偵対象)が小川町停留所に降り立つ際に利用した長距離の幹線。 |
| 小川町停留所 | 物語の中心地:すべての人物が集まり、物語の重要な「探偵ごっこ」が展開される交差点。 |
It was a little past ten by the bathhouse
clock. The washing area, however, was spotless,
not even a small wooden pail in sight. There
was only one person in the tub, lying sideways
and placidly stirring the water while watching
the sunlight that poured in through the glass.
This man was Morimoto, Keitaro’s fellow
boarder.
〆ou really should have seen this morning's
view, you sleepy one. The sun was absolutely
beating down, but there was a ton of mist,
you know? When you looked right through the
tram from here, you could distinctly see
every passenger, like a silhouette on a paper
screen (shoji). And since the sun was behind them, every
single one of those people looked like a
gray monster. It was an incredibly strange
sight.” Morimoto has said.
Keitaro's curiosity about Morimoto is
perhaps more appropriately directed at the
latter's past than his present. Keitaro once
heard Morimoto speak about the time when
he was a rekkitoshita head of a his wife. He also heard about
his wife, and the death of the child they
had together. Keitaro still remembers his
words: "The brat's death, well, that
sort of saved me. I was truly terrified of
the mountain god's curse (sanjin no tatari), you see.".jpg)
During his student days, Keitaro had already
envisioned rubber tree plantations in Singapore.
Back then, he could not stop imagining himself
as the cultivation supervisor, living in
a single-storey bungalow surrounded by millions
of rubber trees, which seemed poised to fill
the boundless wilderness. He planned to leave
the floor of the bungalow deliberately bare
and lay a large tiger skin upon it. Buffalo
horns would adorn the walls, alongside his
rifle and Japanese sword, still sheathed
in its brocade scabbard. He imagined himself
reclining on a rattan chair on the wide veranda,
wrapped in a pure white turban and puffing
leisurely on a strongly scented Havana cigar.
Beneath his feet would be a black Sumatran
cat ? a strange creature with velvety fur,
eyes like pure gold and a tail far longer
than its own height ? crouched with its back
arched like a mountain.
Morimoto, who was an expert on rubber and
had taught Keitaro various things, warned
him that it wouldn't be long before the supply
of rubber produced in that area would exceed
global demand, causing a severe panic among
cultivators. After that, Keitaro never spoke
a word about rubber again.
・Conversation between Morimoto and Keitaro
Morimoto had said: "If I may be so
bold, you have only just left school and
know nothing of the real world. No matter
how much you flaunt your qualifications,
I'm not the sort of person to be intimidated.
I've got my feet firmly planted in the real
world.' He made this blunt assessment, seemingly
having forgotten entirely the great respect
he had shown for education just moments before.Then,
as if in a fit of despair, he let out a sigh
like a belch, lamenting his own ignorance
with such a pitiful a
.jpg)
Morimoto said, ‘Right then, I'll just pop
out for a wee,’ and went out into the corridor.However,
even after waiting for ten minutes, the adventurer
still showed no sign of appearing. Unable
to bear the wait any longer, KeitarM finally
went downstairs to look for him himself,
but there was no trace of Morimoto anywhere.
‘Well, I've been working on the railways
for three years now, but I've had enough.
I reckon I'll quit soon. Though if I don't
quit myself, they'll just sack me anyway.
Three years is a long time for me, you see.’ Morimoto said
.jpg)
To be perfectly honest, KeitarM had indeed
approached Morimoto quite recently with a
certain admiration in his heart. However,
he was uneasy about the future now that such
practical matters were perceived as requiring
secret consultations.
As you know, I'm a poor student who has just
left school and doesn't have a steady job
yet. Nevertheless, I am a man who has received
some education. Being lumped together with
vagrants like Morimoto is rather insulting.
Moreover, to suspect me of having some kind
of shady connection behind my back and to
persistently doubt me no matter how many
times I say I know nothing about it is rather
suspicious, don't you think? If you feel
that way about a guest who's been staying
for two years, that's fine. I have my own
sense of propriety. I've been a burden on
your household for the past two years, but
have I ever been a day late with my lodging
money?"Keitaro said.
.jpg)
You must have been startled when I vanished
so suddenly. Even if you weren't, Raijk and
Zuku?those two?were certainly taken aback.
To be perfectly honest, I'd fallen a bit
behind on my lodging fees. I thought Raijk
and Zuku would make a fuss if I mentioned
it, so I deliberately didn't refuse and took
the liberty of leaving. Once I've sorted
out the belongings left in my room?the trunk
is packed full of clothes and other items,
so it should fetch a decent sum. Therefore,
I'd like you to tell them both to either
sell it or wear it themselves. Mind you,
being the cunning fellow he is, he may well
have already made such arrangements without
waiting for my permission. What's more, if
I approach this too smoothly, he might present
you with the outrageous demand that you wipe
my still-dirty backside clean. Under no circumstances
must you entertain such a request. You see,
those like you, fresh out of higher education
and stepping into the world, tend to be the
sort of prey that creatures like the Thunder
Beast fancy devouring. You really must be
careful about that sort of thing. I may lack
education, but I certainly know better than
to default on a debt. I fully intend to repay
it next year. If you should harbour suspicions
about me merely because I possess a few unexpected
experiences in my background, it would be
tantamount to losing a dear friend. That
would be a profoundly regrettable outcome.
I earnestly beg you not to misunderstand
me because of such a lowly creature as a
thunder beast.
Morimoto stated that he was currently working
as an amusement attendant at the Electric
Park in Dalian. He confirmed that he would
be travelling to the capital next spring
to purchase motion pictures. He added that
he was looking forward to seeing me again
after such a long time.
Electrical Park in Dalian
I bought that plum tree in a pot from the
Dozaka nursery. The trunk isn't particularly
old, but it's just the right size to sit
on my lodgings' windowsill and gaze at the
view in the morning and evening. I will give
it to you, so please take it to your room.
However, having received it, I've probably
already let it wither away. You should also
find my walking stick in the umbrella stand
by the entrance hall. It certainly wasn't
expensive, but it was a favourite of mine,
so I'd like to offer it to you as a keepsake.
Even if the Thunder Beast and the Zuk were
to take that Western-style cane, I doubt
they'd complain. Please don't hesitate to
take it. Use it. Manchuria, and Dalian in
particular, is an exceedingly fine place.
For a promising young man like you, there's
hardly a better place to develop at the moment.
Why not take the plunge and come? Since I
arrived here, I have made quite a few acquaintances
among the South Manchuria Railway people.
If you do intend to come, I should be able
to arrange considerable assistance for you.
However, if you do decide to come, please
give me a little advance notice. Farewell.
.jpg)
A 停留所
‘You know, I used to think education was
a kind of right, but it's really just a kind
of bondage. What good is any right if you
graduate from school only to struggle to
put food on the table? And if you think that
means you can do whatever you like without
a care for your standing, well, you still
have to care. Damn it, education really does
tie people down.’ He sometimes sighs as
if in pain.
Sunaga asked, “So, what would you like
to try?” Leaving aside the matter of food
and clothing.”
Keitaro replied that he wanted to try doing
something like what detectives at the Metropolitan
Police do.
Keitaro earnestly explained why he could
not become a detective. For a detective is
essentially a social diver, plunging beneath
the surface of society to its depths; scarcely
any other profession so profoundly captures
the mysteries of humanity. Moreover, their
position requires only observing the dark
side of others, without the danger of becoming
corrupted themselves ? undoubtedly a more
convenient arrangement. Yet, alas, its very
purpose lies in exposing crime; it is a profession
founded upon the deliberate intent to ensnare
people. Such wickedness is beyond him. I
wish only to observe, with a sense of wonder, the manner in which the
abnormal mechanisms of human beings operate
in the darkest night.―For example, something like what happened
to Yasuhiro Horiuchi on 17 September 2025
was reported by Bunshun Online.
The chapter that follows the bath scene focuses
on the friendship between KeitarM and Morimoto,
while the scene at the petrol station showcases
the bond between KeitarM and Sunaga. As the
story progresses, it becomes clear that Sunaga
arranged KeitarM's employment exactly as
he wanted.
KeitarM visited Sunaga's house, unable to
tell whether he was genuinely serious or
merely restless and agitated.
Keitaro stood for a while before Sunaga's
gate. Rather than quietly peering over the
wall to observe the movements of the woman
who had just entered, he intended to imagine
what romantic tales Sunaga and this woman
might be weaving together. Yet, he still
kept his ears pricked. Inside, however, it
remained as silent as ever. Not a single
seductive female voice, not even a cough,
could be heard.
‘A fiancee, perhaps?’
.jpg)
Sunaga had been due to meet his uncle this
morning, but having caught a sore throat,
he had postponed going out. He replied that
he would likely be able to go within four
or five days, and that he would certainly
speak to him then.
.jpg)
Sunaga, on the other hand, had deliberately
chosen topics that would pander to Keitaro's
curiosity. He told Keitaro that the backstreets
near his own train station were divided like
dice pips by tiny houses and narrow lanes.
This area was home to nameless city dwellers,
and every household performed plays that
never rose to the upper echelons of theatre.
My uncle mentioned he might be travelling
to Osaka on business within the next four
or five days, so I phoned to ask if I could
see him before he left, thinking it best
not to delay too long. He replied that it
would be fine, so I suppose if I intend to
go, it would be best to do so as soon as
possible. That was the message from Sunaga.
When he reached Ogawa-cho, he felt a strong
urge to alight from the train and go to Sunaga's
front door to verify the facts from his friend's
own lips. Yet, finding no reason beyond simple
curiosity to engage in such intrusive questioning,
he restrained himself and immediately transferred
to the Mita Line.
The area around UchisaiwaichM during the
Meiji period was a particularly splendid
and significant district within Tokyo, symbolising
both “civilisation and enlightenment” and
“international exchange” amidst the city's
advancing modernisation. In stark contrast
to the shanty town on the back street where
Sunaga lived, this area was like the main
entrance to Westernised Tokyo. This area
featured Western-style stone and brick buildings
such as the Rokumeikan and banks lining the
main streets, yet just one step into the
back alleys revealed traditional Japanese
wooden houses and dirt roads where rickshaws
still passed. However, the area around Uchisaiwaicho
and Hibiya at that time was, before the construction
of the Rokumeikan, the site of the vast former
residence of the Satsuma domain. In the early
Meiji period, a museum was also established
there, meaning the landscape was in a transitional
phase, gradually transforming into that of
a modern city. Consequently, the slum where Sunaga lived,
known as the “backstreets behind the railway”,
and the splendid Western-style buildings
of this “UchisaiwaichM” clearly demonstrated
the stark contrast in social class and civilisation
within Tokyo at that time. These phenomena have persisted to the present
day. They have continued under the guise
of station redevelopment plans.
When he reached Ogawa-cho, he felt a strong
urge to alight from the train and go to Sunaga's
front door to verify the facts from his friend's
own lips. Yet, finding no reason beyond simple
curiosity to engage in such intrusive questioning,
he restrained himself and immediately transferred
to the Mita Line.
.jpg)
.jpg)
Look at this. When twisted together like
this, one thread becomes two strands, and
two strands become one thread, don't they?
There's the flashy red and the plain navy
blue. In youth, one tends to rush headlong
towards the flashy, often making mistakes
and failing. But yours, for now, seem to
be tangled together just as well as this
twisted thread, perfectly balanced. You are
fortunate.
How should we proceed? Well, divination
merely reveals the broad outlines through
the principles of yin and yang. In practice,
each person simply has to adapt their thinking
to those broad outlines when faced with a
situation. But that's just the way it is.
You are waiting for something that is both
like yourself and like others; something
that is both long and short; something that
both emerges and creeps in. So, when the
next incident occurs, remember this above
all else. Then things will go smoothly.
‘I have heard a little about you from IchizM,
but what sort of person are you hoping for?’
Taguchi asked.
‘I have hope in all directions,’ KeitarM
replied.
At last, the long-awaited envelope was
in his hands. He tore open the seal with
a sharp snap. Without pausing for breath,
he read the scroll from end to end in one
go and gasped faintly in surprise. The task
assigned to him was even more romantic than
his cherished fantasies. The letter's wording
was simple, of course; not a word beyond
the task itself was written.
.jpg)
Between four and five o'clock today, a man
of about forty, travelling by train from
the Mita area, alighted at the Ogawa-cho
stop. He is a tall, thin gentleman wearing
a black fedora and a marbled overcoat, with
a long face. He has a large mole between
his eyebrows, which serves as a distinguishing
mark. Investigate his movements within two
hours of him alighting from the train and
report back.
Keitaro decided that he should at least go
and see the station. Glancing at his watch,
he saw that it was only just past one o'clock.
As he would arrive at least half an hour
before four, leaving home at three would
suffice, giving him two hours' leeway.
Look at this. When twisted together like
this, one thread becomes two strands and
two strands become one thread. Does it not?
There you have it: the flashy red and the
plain navy blue. When we're young, we tend
to rush headlong towards the flashy, often
making mistakes. But yours seem to be intertwined
just as neatly as these twisted threads ?
perfectly balanced. How fortunate you are.'
Come to think of it, this echoes what the
fortune-teller said.・・・・・・And then
she gave me some advice.
‘What should I do? I said..
‘What should you do?’ Well, divination
merely reveals the broad outlines through
the principles of yin and yang. In practice,
each person must adapt their thinking to
these broad outlines when faced with a situation.
But that's just how it is. You are waiting
for something that is both like and unlike
yourself; something that is both long and
short; something that emerges and retreats.
So, when the next incident occurs, remember
this above all else. Then things will go
smoothly.”・・・・・・
Soseki, however, took a different view; he
wrote of KeitarM's heart in chapters twenty-two
and twenty-three.
KeitarM had realised something. It was his
own carelessness.
To alight at Ogawa-cho after passing
through Marunouchi from the Mita direction,
one may proceed straight ahead along the
main street at Kanda Bridge and turn left
to disembark at the stop where Keitaro Ima
stands; alternatively, turning right allows
one to alight in front of the pottery shop
he had just inspected.
If he turns right again, he can alight
in front of the pottery shop he had just
inspected a moment ago.
Since both were written in white paint as
'Ogawa-machi Stop', the man in the black
fedora who was following him could not possibly
know which direction to disembark in.
In his desperation, he suddenly thought
of a last-ditch measure: perhaps he should
go and seek Suna's assistance. But the clock
was already ticking down to seven minutes
to four.
Sunaga lives just down this back lane, but
even if I factor in the time it takes to
dash to the gate and grab a bite to eat,
it seems utterly impossible to make it in
time.
.jpg)
.jpg)
‘I can't tonight, I've got something to
do.’
‘What kind of’
‘It's important business; I can't tell
you.’
“Oh, I know everything. After keeping
me waiting all this time!”
‘It's already late tonight, so?’
"It's not too late! If we take the
train, we'll be there iIt's not too late.
We'll be there in no time if we take the
train.n no time.”
・・・・・・ The woman eventually broke
the silence and spoke. .jpg)
In that case, you don't have to go, but you'll
give me that/it.
In that case, you don't have to go, but
you'll give me .
{Look, that thing?the one I mentioned the
other day. You understand, don't you?
I have no idea.
Stop pretending you don't know! .png)
.jpg)
.png)
.jpg)
"Your wife, sir...?"
"My wife, naturally. Why do you ask?"
"I simply wanted to know if
someone of your disposition could manage
a domestic life, like everyone else."
"My life, domestic... Is it
because I am a KMtM Ykmin [higher idler] that you question it?"
"It's not exactly for that reason,
but I just had a feeling and couldn't help
but ask."
"A higher idler is more concerned
with his home life than Taguchi is."
"Matsumoto then happened to ask,
'You look as if you've never given thought
to that kind of issue.'
"That's right, I haven't thought
about it in the slightest."
"You don't need to consider
it, do you? Not while you're living alone
in a lodging house. But even living alone,
surely you think about the broad
issue of man versus woman?"
.png)
"Well, I was just returning from
visiting Sunaga."
"While I was talking at Taguchi's,"
"that girl called" (chiyoko)
"saying she would be waiting for
me there around half-past four, and asked
me to stop by on my way back."
"she insisted vehemently"
"he had told her, '...lie in wait
for him at the tram stop, and don't let him
get away until you go together to buy it,'
so she had been waiting here for some time."
"I thought I'd try to placate her
with some Western food,"
"and in the end, I took her to
a restaurant."
C 雨の降る日 Distinguishing between Soseki's position
and status
The reason Matsumoto refused to see visitors on rainy days eventually passed, and Keitaro never got the chance to hear it from the man himself for a long time. Keitaro, too, got caught up in other things and eventually forgot about it. He only happened to hear the reason much later, after he had secured a certain position through Taguchi's good offices, which allowed him to visit and leave the Taguchi household without reservation.
By that time, the experience at the tram stop had already begun to lose its novelty in his mind. He merely managed a bitter smile whenever Sunaga brought the topic up. Sunaga often pressed him, asking why he hadn't confided in him before the incident. He sometimes chastised Keitaro, saying he ought to have known from his mother that his uncle in Uchisaiwaicho was capable of trickery. Finally, he began to tease Keitaro, claiming it was because he was simply too flirtatious.
Keitaro always brushed him off with a "Don't be ridiculous," but inwardly, he consistently recalled the figure of the woman he had seen from behind at Sunaga's gate. He also remembered that this very woman was the one he had encountered at the tram stop. And he would feel a faint sense of embarrassment from somewhere far off. The fact that the woman's name was Chiyoko, and her younger sister's name was Momoyoko, was no longer new information to Keitaro.
After meeting Matsumoto and hearing all
the inside details, Taguchi felt somewhat
awkward about showing his face again. Yet,
feeling compelled to do so to tie up loose
ends, he steeled himself for ridicule and
slipped through Taguchi's gate once more.
Sure enough, Taguchi burst out laughing.
Yet within that laughter, Keitaro interpreted
not the prideful echo of self-satisfaction
over his own cunning, but rather the triumphant
joy of having guided a lost soul back onto
the right path. Taguchi made no use whatsoever
of words meant to make Keitaro feel indebted,
such as “for your own good” or “a method
of education.” He simply stated that since
there had been no ill intent, there was no
need for anger, and immediately promised
to arrange a suitable position for him on the spot.
.jpg)
When getting into the carriage, Chiyoko held
a white urn in a cedar box on her lap. As
the carriage started, a cold wind blew between
the lap robe and the cedar box. Tall zelkova
trees, with their pale trunks, lined both
sides of the road, swaying their thin branches
as if seeing them off and welcoming them.
Chiyoko found it strange that the path she
was on was unexpectedly bright, even though
the thin branches crossed so thickly high
above her head. From time to time, she would
look up to gaze at the distant sky. Upon
arriving home and placing the remains before
the family altar, a child immediately came
up and asked to see inside the lid, which
she resolutely refused.
Soon, the whole family gathered in the
same room for lunch. "Looking at it
this way, it seems there are still many children,
but now one is missing," remarked Sunaga.
"While she was alive, I didn't think so much
of it, but now that she's gone, I feel she
was the most precious. I almost wish someone
among those here could take her place," Matsumoto said.
"How cruel," Shigeko whispered
to Sakiko.
"Aunt, please try hard again and make
a child exactly like Her. I'll cherish her."
"It shouldn't be a child just like
Yoiko, it must be Yoiko herself. Unlike teacups
or hats, even if a replacement is made, it
doesn't mean you forget the one you lost."
"I've come to dislike the man who
comes with a letter of introduction on a
rainy day."
D 須永の話
Ever since Keitaro caught a glimpse of the
woman's back at Sunaga's gate, he had been
unable to stop imagining the connection between
Sunaga and Chiyoko.
It was a fact that he was momentarily baffled
by the contradiction between his inner world
and the outer reality of society when he
happened to hear the talk of Chiyoko's marriage. He had learned the news from Saeki, a young
student.
"I always assumed Miss Chiyoko would
marry Sunaga-kun, but that's not the case,
is it?"
"I doubt they will."
"Why not?"
"If you ask me why, I can't give you
a clear answer, but it seems complicated
just thinking about it."
"Really? I figured they were a perfect
match. They're cousins, and the age difference
is only five or six years, which is quite
normal."
"Well, to an outsider, it might look
that way. But it seems there are various
complicated circumstances behind the scenes."
.jpg)
"Tokyo people are so particular, aren't
they? Do they make such a fuss when taking
a wife, too?"
"Anyone would if they could. It's not
limited to Tokyo people. Even a country bumpkin
like you would, I imagine.
"Sunaga replied, maintaining a poker face.
Sunaga replied in a more subdued tone
than usual, "It seems some new talk
of a match has come up. I hope it works out
well this time." But then he suddenly
changed his manner of speaking, adding, "Well,
you wouldn't know it, but there have been
many such discussions before."
"Are you not planning to take her as
your wife?"
"Do I look like I'm going to marry her?"
.jpg)
Two or three days before he died, my father
called me to his bedside and said, "Ichizo,
when I die, you'll have to depend on your
mother. Do you understand?"
Moving the muscles of his emaciated face
with an effort, my father said, "If
you're as naughty as you are now, your mother
won't look after you, you know. You need
to be a little quieter.
"Suddenly, my mother placed her hand
on my closely cropped head, fixed her swollen
eyes on me, and said in a small voice, "Even
though your father is gone, your mother will
love you just as before, so don't worry."
I don't know how harmonious the relationship
was between my father and mother. I haven't
taken a wife yet, so I may not be qualified
to speak on such matters, but since it's
only human nature for even the best-matched
couples to feel awkwardness occasionally,
I imagine there were times when they too,
living together for so long, discovered unpleasant
flaws in each other's hearts and quietly
endured dissatisfactions they never spoke
of, either to each other or to the world.
Now that I think of it, I might as well
mention it here, but I wasn't an only son
from birth. I remember playing every day
with my sister, Tae-chan, when I was a child.
She usually wore a hifu with a large pattern and her hair was cut
short like a doll's. She always called me
Ichizo-chan, Ichizo-chan, and never once
called me niisan (older brother). This sister died of diphtheria
some years before my father passed away
.I still remember being teased by Matsumoto,
who came to visit our house, with him asking
if I had diphtheria too, and my answering,
"No, I don't. I'm a soldier!"
It is strange that I lacked attention toward
my mother. If it is a habit of human nature to be more
curious about others than oneself, it may
be that my father appeared far more like
a stranger to me than my mother did. To put
it the other way, my mother was too close
to me to be worth observing.

My mother, typically for a woman educated
in the old-fashioned way, holds the belief
above all else that it is a child's first
duty to raise the family name.
I am not a man who can raise the family
name in any sense. All I keep in my head
is the knowledge to avoid disgracing it.
What allows this selfishness of mine to
continue as it is, is, needless to say, the
small inheritance my father left behind.
Taguchi was certainly not the influential
man or the man of wealth that he is now.
It was simply because he was a man of promise
that my father arranged for my aunt?my mother's
younger sister?to marry him.
For whatever reason, my mother reportedly
asked the Taguchis, "When she grows
up, won't you let this child marry Ichizo?"
Once, the following conversation passed between
my aunt and me.
"It's about time you started looking
for a wife, isn't it, Ichizo? Your mother
has been worried for quite a while, you know."
"If you find someone suitable, please
let my mother know."
"For you, Ichizo, a quiet, gentle,
and kind woman?something like a nurse?would
be best, wouldn't she?"
"Even if I looked for a wife like
a nurse, I doubt anyone would be willing
to marry me."
Chiyoko suddenly lifted her head."Shall I go and do it for you?"
My aunt did not even turn around to face
Chiyoko. Then she said, "How could an
outspoken, flighty girl like you ever appeal
to Ichizo?"
Chiyoko just laughed loudly and seemed
amused.
I asked my uncle, "Has Chiyoko's marriage
arrangement been finalized yet?"?primarily
to show him that I harbored no ulterior motives
toward Chiyoko.
"No, it doesn't look like it will
be settled anytime soon. We keep getting
people bringing proposals, but honestly,
it's so complicated it's exhausting. What's
more, the deeper you look, the more trouble
it becomes, so I'm thinking we may just have
to settle it at a decent level if we can.
?Marriage arrangements are a strange thing,
you know. I'll tell you this now, because
it's you: the truth is, when Chiyoko was born, your mother asked
for her to be Ichizo's wife?and she was a
newborn baby!"
At this, my uncle laughed and looked at
me.
I wondered if I should offer a slight defense
for my mother, assuming my uncle was indeed
interpreting this matter so lightly. However,
I immediately thought better of it and kept
silent, reasoning that if this was a clever
attempt by a man of the world to enlighten
me, it would be foolish to utter even a single
word. My uncle is a kind man, and also a
man of the world. Even now, I do not know
which viewpoint?kindness or worldly wisdom?to
judge his words by. It is a fact, however,
that from that time onward, I only inclined
more strongly toward not marrying Chiyoko.
.png)
"You
were far more thoughtful then, when you drew
that for me, than you are today."
"Yet you still carefully keep something
like this tucked away."
"I'm going to take it along when I
go to be a bride."
"But it's not a done deal, is it?"
"It's not completely definite yet, is
it?"
Chiyoko picked up her bunko and stood up. As she slid open the shMji screen, she looked down at me from above
and, after clearly declaring in a single
breath, "That's a lie," she went
out toward her own room.
Once, D'Annunzio received an invitation to
attend a certain gathering. As is the custom
in the West, where literary figures are celebrated
as ornaments of the state, D'Annunzio was
treated like a great man by everyone present,
receiving immense respect and admiration.
While he was wandering around the crowd,
drawing the attention of the entire hall
to himself, he happened to drop his handkerchief
near his feet. Due to the commotion, neither
he nor those nearby noticed it at all.
Then, a beautiful young woman picked up the
handkerchief from the floor and brought it
to D'Annunzio. Intending to return it to
him, she asked, "Is this yours?"
D'Annunzio replied, "Thank you,"
but apparently feeling the need to show some
gallantry toward her beauty, he said, "Keep
it for yourself; I'm presenting it to you,"
speaking as if he were anticipating the girl's
delight. Without a word in reply, the woman
silently held the handkerchief by her fingertips,
walked over to the stove, and abruptly tossed
it into the fire. Apart from D'Annunzio himself,
all those present at the gathering let out
a subtle smile.
When I heard this story, instead of picturing
the beautiful Italian woman, I immediately
pictured Chiyoko's eyes and eyebrows in her
place. And I thought that if it hadn't been
Chiyoko but her younger sister, Momoyo, she
would undoubtedly have thanked him and gladly
accepted the handkerchief on the spot. Chiyoko,
however, simply cannot do that.
Matsumoto's uncle gave the sisters nicknames,
constantly calling them "Big Toad"
and "Little Toad." He would often
make them laugh or get angry by saying that
their mouths?which were too long for the
thinness of their lips?resembled a coin purse
with a clasp.
"My perpetual thought is: 'No emotion
is as beautiful as a pure one. No beautiful
thing is as powerful.'
Every time I compare myself with Chiyoko,
I invariably feel compelled to repeat the
phrase, 'The fearless woman and the fearful
man.' Ever since my uncle Matsumoto explained
the distinction between poetry and philosophy
to me, when I think of 'the fearless woman
and the fearful man,' I am immediately reminded
of poetry and philosophy, which seem so distant
from my own life. If you ask me, the trait
of the poet is to be fearless, and the fate
of the philosopher is to be fearful.”
Feeling sure there was a continuation to
the narrative, Keitaro inquired of Sunaga
when the most recent story had happened.
Sunaga told him it was an incident from when
he was about a junior in university.・・・・・・
It was an event that took place during the
summer vacation between my third and fourth
years of university. As I was holed up on
the second floor of my house, wondering how
best to spend the heat of the summer, my
mother came up from downstairs and suggested
I go to Kamakura for a little while if I
had some free time. Then, she took a letter
from Chiyoko out of her pocket and showed
it to me. It was co-signed by Chiyoko and
Momoyo, and written as if conveying a command
from their mother for my mother and me to
come together.
.jpg)
"A man was just sitting in the room,
wasn't he?
"There's Mr. Takagi! He's Akiko's
brother. You know who I mean, don't you?"
"To tell the truth, I knew almost nothing
about this man, Takagi. I had only heard
once from Momoyo that he was looking for
a suitable spouse. I remember that at that
time, Momoyo looked at my face as if seeking
advice, asking, 'What do you think about
my sister (for him)?'"
.png)
" I suspected that Nature was deliberately
placing the two of us side by side in the
same room just to compare opposites. ."
The contrast between our appearances already
suggested an unpleasant opposition. Yet,
when it came to manner and bearing, I could
not help but feel an even greater difference.
Though I was surrounded by people deeply
familiar to me?my mother, my aunt, and my
cousins?it was I, not Takagi, who seemed
like a guest from elsewhere. He, on the other
hand, conducted himself with such ease and
natural grace, without sacrificing any sense
of refinement, that it was clear he knew
instinctively how to behave among others.
To me, who has always been uneasy with
strangers, it seemed as if this man had been
thrown into the world of social interaction
the very moment he was born, and had grown
up entirely within it. In less than ten minutes,
he had taken over the whole conversation
from me and gathered everyone’s attention
to himself. Yet, to keep me from being left
out, he occasionally offered me a word or
two. Unfortunately, the subjects he chose
held no interest for me, so I could neither
join in the group’s talk nor speak to him
alone.
He called Taguchi’s aunt “Mother” with
an easy familiarity, and he addressed Chiyoko
in the same manner I did, as “Chiyo-chan,”
as though he had been naturally granted the
right to use that childhood name. Then he
turned to me and said, “When you arrived
a little while ago, we were just talking
about you and Chiyo-chan.”
二人のがすでに意地の好くない対照を与えた。しかし様子、対応とかぶりとかになると僕はさらにはなはだしい相違を自覚しない訳に行かなかった。僕の前にいるものは、母とか叔母、従妹とか、皆親しみの深い血属ばかりであるのに、それらに取りまかれている僕が、この高木に比べると、かえってどこからか客にでも来たように見えたくらい、彼は自由に遠慮なく、しかもある程度の品格を落す危険なしに己を取扱かう述を心得ていたのである。知らない人を怖れる僕に云わせると、この男は生れるや否や交際場裏に棄てられて、そのまま今日まで同じ所で人と成ったのだと評したかった。彼は十分と経たないうちに、すべての会話を僕の手から奪った。そうしてそれをことごとく一身に集めてしまった。その代り僕を除け者にしないための注意を払って、時々僕に一句か二句の言葉を与えた。それがまたあいにく僕には興味の乗らない話題ばかりなので、僕はみんなを相手にする事もできず、高木一人を相手にする訳にも行かなかった。彼は田口の叔母を親しげに御母さん御母さんと呼んだ。千代子に対しては、僕と同じように、千代ちゃんという幼馴染みに用いる名を、自然に命ぜられたかのごとく使った。そうして僕に、先ほど御着になった時は、ちょうど千代ちゃんとあなたのお噂をしていたところでしたと云った。
.png)
"My mother, who was used to quiet meals,
was indeed wearing a cheerful expression
amidst all this liveliness, just as my uncle
had said. Despite her shyness, my mother
actually liked these kinds of lively gatherings.
At that moment, she happened to be eating
a piece of lightly salted grilled small horse
mackerel, and she repeatedly praised it,
calling it delicious."
"If you ask the fishermen, they'll prepare
and bring you as much as you like. Why don't
you take some with you when you leave? I've
been wanting to give some to you because
your sister likes it, but I just haven't
had the chance, and besides, it spoils quickly,
you see."
I once had some specially prepared in Oiso
and went to the trouble of taking it all
the way back to Tokyo, but you really have
to be careful." "Spoiling?" Chiyoko asked.
" 'Aunt, don't you like Okitsu-dai (Okitsu sea bream)? I think Okitsu-dai is much better than this,' said Momoyo." " 'The Okitsu-dai is nice in its own way,' my mother replied
gently."
"In terms of my tastes and character,
I possess both qualities that closely resemble
my mother's and those that are entirely different.
This is a secret I haven't told anyone yet,
but actually, purely for my own self-understanding,
I have, over the past few years, secretly
conducted detailed research into how and
where my mother and I differ, and how we
are alike."
「僕は自分の嗜好や性質の上において、母に大変よく似たところと、全く違ったところと両方有っている。これはまだ誰にも話さない秘密だが、実は単に自分の心得として、過去幾年かの間、僕は母と自分とどこがどう違って、どこがどう似ているかの詳しい研究を人知れず重ねたのである。」
"I would have been very happy if I possessed
flaws in common with my mother. Conversely,
I found it deeply unpleasant to have strengths
that she did not possess, and that only I
had. Among these things, what concerned me
most was that my face resembled only my father
and had features?eyes, nose, and mouth?that
bore absolutely no connection to my mother's.
Even now, every time I look in the mirror,
I think to myself that I wouldn't mind being
less handsome if only I had inherited more
of her features; I would feel so much better,
feeling more like her child."
――欠点でも母と共にそなえているなら僕は大変嬉うれしかった。長所でも母になくって僕だけ有もっているとはなはだ不愉快になった。そのうちで僕の最も気になるのは、僕の顔が父にだけ似て、母とはまるで縁のない眼鼻立にでき上っている事であった。僕は今でも鏡を見るたびに、器量が落ちても構わないから、もっと母の人相を多量に受け継ついでおいたら、母の子らしくってさぞ心持が好いだろうと思う。
The next day, when I woke up, Goichi, who
had been sleeping next to me, was already
nowhere to be seen. Placing my under-rested
head on the pillow, I followed a path that
was neither dream nor thought, and occasionally
gazed at my uncle’s sleeping face with the
kind of curiosity one feels when secretly
observing a different species of human.
As they finished their meal, a mist-like
rain began to fall.Even so, since there was
no wind, the sea appeared calmer than usual.
Because of the unfortunate weather, their
kind-hearted mother felt sorry for everyone.Their
aunt warned that it would soon turn into
a steady downpour, suggesting that they should
stay home for the day.However, all the young
ones insisted on going nevertheless.
Goichi, just for the fun of it, would ask
almost everyone he saw, "Where is the house of the man who came as
an adopted son from the south, but is originally
from the west?" and each time, he made everyone laugh.
Finally, when he posed the same question
to the old woman at a dirty teahouse, where
a young woman with a gekkin (moon lute), wearing a woven hat (amigasa) and white gauntlets (tekko) and leggings (kyahan) was resting, the old woman, surprisingly,
answered readily, "It's right there."
Everyone clapped their hands and laughed
again. It was a small thatched house located
on a slight elevation, which was reached
by climbing a stone staircase divided into
three sections leading up the hillside from
the street.
It was about an hour later that everyone
assembled and went down to the beach to board
the boat.
.jpg)
The six of them scrambled into the boat
without any order, climbing over the gunwale.
By chance, Chiyoko and I were pushed by those
behind us and ended up sitting facing each
other, knee to knee, in the partitioned area
at the bow. Uncle was the first to enter,
settling himself cross-legged like the head
of the family in the main, wide section?what
you might call the "mid-body" of
the boat. Treating Takagi as the guest of
the day, he invited him, "Please, come
here," so Takagi, having no choice,
took a seat beside Uncle. Momoyoko and Goichi
entered the next partitioned space, what
you might call the compartment after the
main one, together with the boatman.
I assert that the satisfaction I feel toward
my conscience, when compared to the pleasure
of forcibly embracing a woman who does not
desire me, is immeasurable when I allow the
object of my affection to run free in the
field of liberty, and then sadly gaze upon
the scar of my own lost love, embracing that
more manly feeling.
I said this to Chiyoko:
"Chiyo-chan, why don't you go over there?
It looks wider and more comfortable on that
side."
"Why? Am I in the way if I stay here?
As the boat left the shore, he spoke with
Uncle, saying things like,
"The weather is clearing up nicely.
This is actually better than a scorching
hot day. It's the perfect weather for a boat
trip."
Takagi spoke with Uncle, saying things like
that.
.png)
Suddenly, Uncle called out in a loud voice
and asked, "Boatman, what exactly are
we going to catch?"
The boatman, who had a close-cropped head,
replied that they were going to catch octopuses.
The most probable interpretation, based
on the context of the boatman mentioning
catching octopuses, is a reply to the Uncle,indicating
that the octopuses are visible.
"I see the octopuses,"
"I can't see them."
"Chiyo-chan, have you ever seen an octopus
swimming? Come and take a look for a moment,
it's really quite strange
," Takagi said, inviting Chiyoko. However,
when he saw my face sitting nearby, he added,
"Sunaga-san, how about you? The octopuses
are swimming."
I merely replied, "Is that so? That
sounds interesting,
" and made no immediate move to leave
my seat. Chiyoko asked, "Which one?"
and went over to Takagi, taking a new seat
beside him.
I returned to Tokyo alone that evening. My
mother, having been persuaded by everyone
to stay, agreed to remain in Kamakura for
a few more days under the condition that
Goichi or someone else would escort her when
she left. I found her too leisurely and felt impatient with her, judging
her easy compliance with their invitation
against the sharp, strained state of my own
nerves. I was startled at the very moment my own
feelings began to turn into a novel, and
that is why I returned to Tokyo.
Scenes like drama, act after act, were painted
before my eyes.
I lost the chance to taste and try any
of them, And yet, for my own sake, I rejoiced.
People will mock me, saying I seem like
an old man.
If he is old who does not navigate the
world by poetry alone, Then I am content
to be mocked.
But if he is old who is dry, utterly
drained of poetry, Then I will not accept
this judgment.
I am struggling, always, in search of
the poem.
I simp
l simply loved the calm gentle atmosphere
that emanated from her.
I worried I'd feel more restless after
returning to Tokyo than I had in stimulating
Kamakura. But the opposite happened.I easily
regained the calmness and composure I was
hoping for. I enjoyed a quiet life, hanging
a new mosquito net and listening to the wind
chimes.Since my mother was away, the maid,
Saku, took care of everything. When I had
my first meal at home after coming back from
Kamakura, seeing Saku serving me made me
strongly aware of the difference between
her and my sisters in Kamakura.
Saku was not a beautiful woman. However,
when she appeared before me, she looked very
humble, reserved, and pitiably feminine.
She sat quietly, seeming to believe that
for a maid, even thinking about love was
too much.
Unusually, I spoke kindly to Saku and asked
her age. She answered that she was nineteen.
Since my mother was not there, all the chores
were taken care of by a maid named Saku. When I sat down for my first meal at home
after returning from Kamakura, and saw Saku
kneeling respectfully before me with a black,
round tray on her lap to serve me, I felt,
as if for the first time, the difference
between her and my sisters in Kamakura.
This novel depicts the egoism and inner conflict of modern intellectuals in the late Meiji era. Specifically, it
deeply portrays the struggle of the modern
individual, who is torn between love and
social conventions and unable to take action,
through the contrast between "Sunaga, the introspective man who overthinks," and "Chiyoko, the woman who acts purely
on emotion."And then, amidst Sunaga's inner conflict,
a maid named Saku appears.
The work "Gedanke" by the Russian writer Leonid Andreyev is a short story that was published in its
Japanese translation by Ueda Bin under the
title "Kokoro."The protagonist is a nervous and highly self-conscious doctor. He harbors a passionate feeling for a certain
woman and proposes marriage to her.However,
the woman responded to his proposal with
a cruel and fathomless "peal of laughter" and rejected it.The doctor was deeply hurt
by this rejection and laughter, and his inner world began to collapse. He gradually lost the ability to distinguish
between reality and fantasy, and became mentally
ill.The protagonist's fate is tragic, leading
to madness and despair, caused by his excessive
self-consciousness and isolation from reality. The story concludes with a powerful depiction
of human loneliness, the futility of love, and the nihilism of existence.
The term "Gedanke" (thought) and the theme it symbolizes?the "anguish of the intellectual confined to a world of ideas"?is carried through from Sorekara (And Then) to Higan Sugimade (To the Spring Equinox and Beyond) and across the entire later trilogy.
| Title | Protagonist (or Central Figure) | Main Theme | Key Features |
| 1. Higan Sugimade (To the Spring Equinox and Beyond) | Keitaro Tagawa, Ichizo Sunaga | Discrepancy between introspection and action. The struggles of an excessively self-conscious modern intellectual. | A structure composed of several short story-like episodes. Depicts egoism through the love life of the protagonist's friend, Sunaga. |
| 2. KMjin (The Wayfarer) | Jiro (Narrator), Ichiro (Older Brother) | Mental illness and loneliness. An older brother who cannot love his wife, and a younger brother who tries to understand his suffering. | Portrays the fundamental loneliness of humanity through the figure of an intellectual suffering from the split between ideal and reality, nearing the brink of madness. |
| 3. Kokoro (Heart) | "I" (Narrator), "Sensei" (Teacher/Mentor) | Egoism and guilt. The confession of "Sensei," who betrayed his closest friend and was tormented by that sin. | Divided into three parts: "Sensei and I," "My Parents and I," and "Sensei's Testament." The most widely read work, which brought the theme of "egoism and death" to completion. |
Soseki also has the earlier trilogy (Sanshiro, Sorekara, and Mon) that was written before this.
| Category | Title of Work | Main Tone and Theme | Background and Key Characteristics |
| Earlier Trilogy | Sanshiro (1908) Sorekara (And Then) (1909) Mon (The Gate) (1910) | A relatively brighter tone, depicting the confusion of youth and the moral dilemmas in society and romance. | Primarily portrays the shifting emotions of young people in the mid-Meiji era and the budding of egoism within a secular, everyday life. |
| Later Trilogy | Higan Sugimade (To the Spring Equinox and Beyond) (1912) KMjin (The Wayfarer) (1912-1913) Kokoro (Heart) (1914) | A darker, introspective tone, delving deeply into themes like the dark shadows in the human heart, egoism, and modern loneliness. | Works written after the "Great Illness at Shuzenji" (1910, an incident where Soseki became critically ill), focusing on a pursuit of views on life and death and spiritual pathology, with deeper interior descriptions at the core. |
I know it sounds weird to say the maid,
Saku, comforted me. But I really think the
simple, calm femininity she showed me helped quiet down my overthinking
and anxious mind.
The quiet side of womanhood I saw in Saku
at that time must have been what calmed my
head, which was getting anxious just from
my own imagination.
I don't really need to mention Saku so much,
but I talked about her actions then simply
because I remembered them from our pastconnection.
I accidentally discovered a strange book behind the shelf, which I had borrowed from
a friend a long time ago and simply forgotten
to return.
Driven by a sudden curiosity whose origin
I couldn't trace, I immediately opened the
book to the first page and began to read.
Terrible things were written inside.
The story is a suspenseful account of a man
who, fueled by spite after the woman he desired
married his rival, plots to murder the new
husband in the presence of his wife, all
while feigning madness.
A certain man who had his heart set on a certain
woman, not only was rejected by her but also
harbored resentment because she married someone
he knew. Driven by this, he planned to murder
the newlywed husband. However, he didn't
just want to kill him. It wouldn't be satisfying
unless he killed him right in front of the
wife. Furthermore, it wouldn't be enough
unless the murder was executed in a complicated
manner where the observing wife, despite
knowing he was the murderer, had to simply
stand there, sucking her finger, completely
unable to do anything else. (I have a similar
example, but in my case, the wife has already
been murdered by that man.)He devised a particular
method as a means to achieve his goal. Taking
advantage of an opportunity when he was invited
to a certain dinner party, he suddenly began
to feign being overcome by a violent fit.
After performing acts on the spot that seemed
exactly like those of a madman to onlookers,
he confirmed that every person present believed
him to be completely insane, and silently
congratulated the success of his scheme.
After repeating the same performance two
or three more times in easily observed social
settings, he successfully earned a widespread
reputation as a dangerous person whose mind
was at risk of succumbing to madness due
to his fits.
He intended to build up a crime of murder
that couldn't be traced, based on this carefully
orchestrated preparation.
As his frequent fits began to cast a dark
shadow over his brilliant social life, the
doors of all those with whom he had previously
maintained friendly relations suddenly started
to close against him. However, this was not
something he worried about.He still had one
house where he could freely come and go.
That house was none other than the home of
his friend and the friend's wife, the very
people he was about to plunge into the realm
of death.
One day, he knocked on his friend's residence
with a casual air. There, pretending to pass
the time with small talk, he secretly watched
for an opportunity to leap upon the person
right in front of him. He picked up a heavy
paperweight that was on the desk and suddenly
asked if one could kill a person with it.
Naturally, his friend did not take his question
seriously. Without caring, he put all his
strength into the paperweight and murdered
the wife's most beloved husband right in
front of her eyes.He was then sent to the
asylum under the name of a madman.
He desperately tries to explain why he
is definitely not insane, using surprising
powers of reason, judgment, and deduction,
all based on the sequence of events mentioned
above. Then again, he doubts his own defense.
Furthermore, he tries to explain away that
doubt. Ultimately, is he sane or is he mad?・・・・・・A
chill ran through me as I held the book,
and I was overcome with dread.
.png)
My mind was built to keep my heart in check.
When I look back upon a past without any
grievous regrets,
I feel this must be the natural state of
mankind.
Yet each time my heart begins to stir with
warmth,
the stern power of my reason bears down upon
it?
a pain so familiar to all who have ever tried
to live rightly.
Being of a rather reserved, inwardly irritable
nature,
I have seldom suffered that abrupt arrest
of feeling?
like a car forced to a sudden stop in full
speed by the brake of reason.
Even so, there were moments when I felt within
me
a burning energy, as though the very axis
of my life were being bent against its will.
Whenever these two forces clashed,
I would wonder: is my head strong, or is
my heart weak?
Yet I could never escape the dreadful sense
that this struggle, though part of life itself,
was silently wearing away my soul.
Compared to my usual self, I was greatly
envious of the protagonist of the Gedanke (thought/idea) who could act so wholeheartedly
and without such consideration. At the same
time, I was terrified?so much so that sweat
dripped from me. I thought how exhilarating
it would be if I could do it.
.png)
Observing the clock in the living room, I
saw it was already past noon, so I took that
as a good opportunity to sit down there and
have my meal. As usual, Saku served me. I
silently took two or three mouthfuls of rice,
but suddenly I asked her,
"Hey, Saku, how does my face look?"
Saku widened her eyes in surprise and replied,
"No, it looks fine."
When the conversation stopped there, Saku
then asked,
"Have you been overworking yourself?"
"No, not particularly."
"It’s suddenly gotten very hot, hasn't
it?"
I remained silent and finished two bowls
of rice. When I had the tea poured and started
to drink it, I again suddenly said to Saku,
"Rather than going to Kamakura and dealing
with the crowds, it's quieter and better
to stay home, isn't it?" Saku replied,
"But it must be cooler there, mustn't
it?" I explained to her, "No, on
the contrary, it's probably even hotter than
Tokyo. Being in a place like that just makes
me irritable and it's no good."
Observing Saku sitting before me, I felt
she was like a morning glory drawn with a single brushstroke (hitofudegaki no asagao). Although it was a pity she was not painted
by the hand of a master, I couldn't perceive
her internal self as anything other than
as simply constructed as that type of picture.
You might ask what is the point of comparing
Saku's character to a painting. There may
be no deep meaning, but in truth, while being
served by her and eating my meal, I compared
myself?who had just been reading about Gedanke?to her, who was now respectfully sitting
there with the black lacquered tray, and
was dumbfounded as to why my own inner self was so complex, like
a stubborn oil painting. To confess, as proof of my higher education,
I had prided myself until this very day on
my mind working more complexly than others'.
Yet, I had somehow grown weary of that functioning.
I felt pitiful wondering what kind of karma
dictated that I had to dissect everything
so minutely just to get through life. Placing
my teacup on the tray, I looked at Saku's
face and was struck by a sense of reverence.
"Do you ever think about various things,
Saku?"
"For someone like me, there is nothing
in particular to think about, sir."
"You don't think much, do you? That's
good. Having nothing to think about is the
best thing."
"Even if I did have things, I don't
have the wisdom to do it, so I can't put
my thoughts in order. I'm completely useless,
sir."
"You are fortunate."
I said this unintentionally, which surprised
Saku. Saku must have thought I was suddenly
making fun of her. I felt bad for having
done that.
.png)
One evening, my mother suddenly returned
unexpectedly from Kamakura. I had just taken
a rattan armchair and a chair out onto the
upstairs veranda, where the last light of
the day lingered, and was listening to Saku
sprinkling water in the garden barefoot.
When I went downstairs and stepped into the
entrance hall, I was greatly astonished to
see Chiyoko following right behind her, stepping
up from the dirt floor, instead of Goichi,
who should have been the one to bring Mother
home. I had not been thinking of Chiyoko
at all while on the rattan chair. Even if
I had thought of her, I could not have separated
her from Takagi. And I had been confident
that the two of them would not be able to
leave the stage of Kamakura for some time.
Before exchanging greetings and looking into
the face of my mother, who seemed slightly
tanned and darker, I wanted to ask Chiyoko
how she had come. In fact, those were the
very words I used first.
"She came to bring your aunt home. Why?
Are you surprised?"
"I'm going to stay the night."
"Where?"
"Well, I could go to Uchisaich, but
it's too big and lonely there. ? Maybe I'll
stay here for the first time in ages, what
do you say, Aunt?"
"Then, since I was invited too, you
should have just had her bring me home,"
I said.
"That's why you should have listened
to what people said and stayed longer,"
she retorted.
"No, I mean back then. When I came home."
"If I had, it would have been just like
a nurse. Alright, I'll even be a nurse, I'd
have come with you. Why didn't you say so?""Because I thought you'd refuse even
if I did."
"It was me who was more likely to be
refused, wasn't it, Aunt? After accepting
the rare invitation and coming, he just keeps
making such a difficult face. You really
are a little bit ill."
"That's why you wanted Chiyoko to come
with you, I suppose," Mother said, laughing.
I had to compare Saku, who accepted her fate
as a humble servant in a society where the
strict class system still exists, with Chiyoko,
who had the pride of a true lady.
Chiyoko paid no attention to Saku, just
as she would any other woman who might have
been there. Saku, on the other hand, stood
up, went to the staircase, and just before
starting to descend, she invariably turned
back to look at Chiyoko's retreating figure.
I recalled the two days I had spent in Kamakura
with Takagi by my side and felt sorry as
I watched Saku, who had declared she had
nothing to think about because she lacked
material, being given the modern and toxic
material that was Chiyoko.
.png)
Chiyoko's manner was as open and unguarded
as usual. She spoke easily on any subject
that came up. Ultimately, this could only
be taken as proof that she was not thinking
deeply about anything. She said that since
going to Kamakura, she had started teaching
herself to swim and now enjoyed going to
where her feet couldn't touch the bottom.
She added that she found it amusing when
the cautious Momoyo would get worried and
try to stop her with a mournful, apologetic
voice.
At that moment, her mother said with a face
that was half worried and half exasperated,
"What are you doing, a girl behaving
so carelessly? For goodness' sake, for your
aunt's sake, please stop that dangerous nonsense
from now on."
"And I asked if Ichi-san also disliked
such tomboyish behavior," she said.
I simply said, "I just don't like it
very much," and gazed out at the street
where the moonlight fell everywhere.
"But Takagi must like it," he must
have added right after.
I detected a strong deliberate intention. It felt like a dark ink spot on white paper. Having believed Chiyoko was the purest woman until she went to Kamakura, I first began to suspect her artifice during those two days, and that suspicion was now finally settling in my heart.
Her not uttering Takagi's name was entirely
due to her goodwill toward me. She purposely
held back from that out of kindness, thinking
not to make me feel bad.I analyzed the word "technique"
(or "art/skill") in detail.
Is she planning to use Takagi as a decoy to lure me?
Is she planning to bait me just to temporarily stimulate my affection for her and enjoy it, even though there's no ultimate goal in 'catching' me?
Or is she suggesting I should become like Takagi in some way? That she would be willing to love me if I did?
Or did she find it amusing to watch Takagi and me fight?
Or is she putting Takagi right in front of my eyes to tell me that someone like him exists, so I should quickly give up on her?
Sleepless night,
I
regret the self that is losing.
The
mosquito net hung, the lamp extinguished.
The darkness filling the room,
Without a gap, oppressively heavy, almost suffocating.
I can no longer endure the pain
Of straining my eyes in the unseen,
Working my mind alone.
I, who had endured, suppressing even a turn in bed,
Suddenly rose and lit up the room.
Then, out to the veranda.
I slid open the storm door, just a narrow slit.
Beneath the tilting moon,
No wind stirred.
I only received, upon my skin and throat,
The comparatively cool air,
That
was all.
.png)
.png)
.png)
As I
gazed at the gleam of the geese in the glassy
glaze,
I dreamed
of the gentle grace of Saku’s hand,
that
stilled the smoke and swept the ashes away.
Why do you dwell so much on Takagi-san?
You're a coward.
Why?
If you don't understand that, you're an idiot!
For an energetic person like Chiyo, a reserved
person like me is probably seen as cowardly,
of course. I am an extremely conventional
man, who lacks the courage to immediately
speak my mind or show it in my actions. If
that is your reason for calling me a coward,
then I suppose it can't be helped.
Stop hiding behind that.
But you look down on me!
・・・・・・・・・・・・・・・
You think I'm an uneducated woman who has
no logic and is completely insignificant,
and you're laughing at me deep down.
.png)
"You are a coward, morally a coward.
You already suspect the very intentions with
which I invited you and my aunt to Kamakura.
That is cowardly in itself. But that's not
the main issue. Having accepted someone's
invitation, why can't you be cheerful as
you usually are? I've been humiliated just
by inviting you. By insulting the guests
in my house, you have ended up insulting
me as well."
"I have no recollection of giving offense."
"Yes、 you have. I don't care about
the words or the actions. Your attitude is what's giving the insult. Even if your
attitude isn't giving it, your heart is."
"I am not obliged to take such detailed
criticism."
"A man can offer such pathetic greetings
because he is a coward. Mr. Takagi, being
a gentleman, has plenty of magnanimity to
accept you, yet you can never accept Mr.
Takagi. That is because you are a coward."
"I don't know what became of Ichizo and Chiyoko.
Nothing much probably. At least from an outsider's
point of view, their relationship seems to
have remained entirely unchanged from the
past up to the present day. If one were to
ask the two of them, they would likely say
various things, but I believe it would be
correct to assume that they would speak plausible
lies that contradict the past and future,
constrained by the mood of the moment, as
if they held eternal value. I believe this
to be true."
"As for that incident, I was told about it
at the time. What's more, I was told by both
sides. It was neither a misunderstanding
nor anything else. Both sides believe it
to be true, and since the way they believe
is justifiable for both, it must be called
an extremely natural conflict. Therefore,
whether they were to become husband and wife
or live together as friends, that conflict
was utterly unavoidable; it could only be
seen as a kind of innate fate or karma for
the two of them. Unfortunately, they are
in a certain sense tightly drawn together.
Moreover, the terrifying thing is that this
very pull is governed by a power of destiny
over which an outsider has no authority.
To use a polished epigram, they form a pitiful
pair, seeming to meet in order to separate,
and to separate in order to meet.
松本の話
.png)
The passage depicts the scenes where the
narrator ("Boku") discusses the
marriage issue of his nephew, Ichizo, first
with Ichizo's mother (the narrator's older
sister), and then with Ichizo himself.The
excerpt captures the tense interactions between
the uncle and nephew over a proposed marriage,
highlighting the conflict between parental
expectations and the individual's desires,
and vividly portraying ShizM's subtle emotional
fragility and feelings of isolation."
"A few months before Ichizo's graduation,
I had a long consultation with my older sister
(Ichizo's mother) about Ichizo's marriage.
My sister had a firm intention to have the Taguchi family's eldest daughter as Ichizo's bride.
I tried to persuade her, arguing that the freedom of the individual should be respected in marriage, but my sister's will was stubborn.
Ultimately, I accepted my sister's earnest
request and agreed to summon Ichizo to speak
with him."
"What this signifies is that Matsumoto
merely regarded the photo as a substitute
for the actual object, viewing it simply
as a photograph. Had the photo been supplemented
with the real person's standing, status,
education, and disposition?thereby giving
life to the portrait on the paper?he might
even have dismissed the face he found appealing.
This is the fundamental difference between
IchizM and Matsumoto."
つまり僕はあくまでも写真を実物の代表としてながめ、彼は写真をただの写真として眺めていたのである。もし写真の背後に、本当の位置や身分や教育や性情がつけ加わって、紙の上の肖像を活かしにかかったなら、彼はかえって気に入ったその顔まで併せてせて打ち棄ててしまったかも知れない。これが市蔵の僕と根本的に違うところである。
"This clearly illustrates the theme
of 'The Prison of the Self.'"
"The man named Ichizo has a personality
that causes him to close off his heart inward
every time he interacts with someone.Consequently, once he receives some kind
of stimulus, it circles continuously in his
mind, gradually sinking deeper and deeper
into his heart. Moreover, this movement is
endless; he keeps thinking about the same
things over and over again, thereby tormenting
himself."
"The man named Ichizo has a personality
that causes him to close off his heart inward
every time he interacts with someone.Consequently, once he receives some kind
of stimulus, it circles continuously in his
mind, gradually sinking deeper and deeper
into his heart. Moreover, this movement is
endless; he keeps thinking about the same
things over and over again, thereby tormenting
himself."
"Eventually, he comes to strongly wish,
'I desperately want to escape this inner
torment.'However, that suffering binds him like a
curse, making escape impossible.In time, he begins to harbor a fear that
'I will collapse someday if things continue
this way. And what's more, I will collapse
alone, with no one to help me.'In this way, both his mind and body become
exhausted, as if driven to the point of madness.
This is the fundamental and great misfortune
of the man named Ichizo."
"To change this misfortune into happiness,
the only option is to reverse the direction
of his heart from 'inward' to 'outward.'In other words, instead of trying to internalize
everything, he must turn his attention to
the external world and gaze at things outside
himself with his heart.Furthermore, he must find just one thing
in the world?a 'great thing,' a 'beautiful
thing,' or a 'gentle thing'?that powerfully
attracts his spirit.In short, he must become more 'fickle' (uwaki). The term 'fickle' here means to enjoy
things with a lighthearted spirit."
.png)
The underlying facts of my statement, that
Ichizo's sun was already clouded from the
day he was born, may already be clear to you, who are close
to him, and who will hear them with a concrete
resonance. To put it simply: they are not a true mother and child.
In brief, and sticking only to the facts:
he was not his sister's child, but was born
from the womb of a maid.Since this did not happen in my own family,
and it is a story from over twenty-five years
ago, I naturally cannot know the detailed
circumstances. However, the story goes that
when that maid conceived Sknaga's child,
the sister reportedly gave her a considerable
sum of money and dismissed her. Then, upon
receiving the news that the pregnant woman,
who had gone to an inn, had given birth to
a boy, the sister had only the child retrieved
and raised him as her own on the surface.
His real mother died shortly after he gave birth to him. I heard it was either due to a poor recovery
after childbirth (a bad hidachi), or perhaps another illness, but my memory,
which lacks the detail required to tell the
full story, was certainly not enough to satisfy
his starved gaze. My account of his birth
mother's final fate was finished in just
two or three minutes.
He looked disappointed and asked for her name. Fortunately, I had not forgotten the old-fashioned
name: O-Yumi. He then asked for her age when she died. I had no definite knowledge on that point.
Finally, he asked if I had ever met her when she was working at
his family's house. I replied that I had. He then asked what
kind of woman she was.
Regrettably, my memory was extremely hazy.
The fact is, I was only a boy of fifteen
or sixteen at the time.
"I remember she used to wear her hair in the Shimada style."
"When my mother insisted that I marry
Chiyo-chan, it was probably based on considerations of bloodline, meaning she wanted me to marry someone
from our own kin/family."Ichizo said.
When the season of fresh green leaves had
passed and, after a bath, I felt inclined
to let the breeze of a paper fan slip beneath
the front of my unlined summer robe, IchizM
wandered in again one day.
The moment I saw his face, the first words
that sprang from my mouth were a single question:
“How were your exams?”
He answered that he had finally finished
them just yesterday. And then he told me
that he had come to bid me farewell for a
while, as he intended to take a short trip
starting the next day.
Not knowing his results yet, I could not
help doubting the state of mind that made
him wish to travel so far, and I felt a faint
uneasiness on his behalf. He said he hoped
to go from the Kyoto area through Suma and
Akashi, and?if circumstances permitted?he
even wished to travel as far as the region
around Hiroshima.
Even after IchizM had gone home, his presence lingered uneasily in my mind. Since I had stamped that dark secret upon his life ? that he was a child born to a maid ? it seemed to me that I must naturally bear every responsibility that might arise from it.
I felt an urge to see my older sister, to observe how she was doing and to hear something of IchizM’s recent condition. So I called my wife from the sitting room and explained the matter, hoping to consult her and justify my intention.
But my wife, who is not easily startled by anything, hardly listened at first and said, “It’s because you talk too much about things you shouldn’t.” In the end, however, she took it entirely upon herself and added, “Why should there be any mistake with young IchizM? He may be young in years, but he has far better judgment than you.”
The promised messages arrived from various
places.
When I counted them, they amounted to nearly
one per day.
Most of them, however, were nothing more
than brief postcards from the road, with
only two or three lines hastily written on
the picture side.
Each time one of those cards arrived, I could
not help wearing an expression of relief,
at which my wife would often laugh.
(The area around Minoh Waterfall had been
known as a scenic spot since the Edo period.
In March 1910, the Minoh-Arima Railway (the
current Hankyu Railway) opened, directly
connecting the area with Osaka. The Osaka
Asahi [Newspaper] established the Asahi Club
in anticipation of the railway's opening.
The Minoh Railway developed a zoo, a Ferris
wheel, and a public hall near the station,
successfully drawing in sightseers. They
created a scheme to attract visitors by establishing
what we would now call a theme park along
the railway line. In the TaishM period, the
zoo and other facilities were moved to Takarazuka,
shifting the central focus of tourist development
there. The railway line was also extended
towards the Kobe area, and the company changed
its name to Hanshin KykkM Electric Railway
(Hankyu).It is a well-known story that the
successor to the public hall in Minoh was
the new theater built in Takarazuka, and
the Takarazuka Girls' Opera (Takarazuka ShMjo
Kageki) was born and experienced great development
with this theater as its base.
Now, this zoo opened in November 1910 (Meiji
43), six months after the train line commenced
operation. It was the third zoo in Japan,
following those in Ueno and Kyoto, and was
reportedly a huge hit, housing ferocious
animals like tigers and lions. Soseki's visit
to Minoh was in August 1911, the year following
the zoo's opening. It is likely that Soseki
glanced sideways at the entrance of the zoo
in front of the station as he proceeded along
the path toward the Asahi Club and the Great
Waterfall.)
The area around Minoh Waterfall had been
known as a scenic spot since the Edo period.
In March 1910, the Minoh-Arima Railway (the
current Hankyu Railway) opened, directly
connecting the area with Osaka. The Osaka
Asahi [Newspaper] established the Asahi Club
in anticipation of the railway's opening.The
Minoh Railway developed a zoo, a Ferris wheel,
and a public hall near the station, successfully
drawing in sightseers. They created a scheme
to attract visitors by establishing what
we would now call a theme park along the
railway line. In the TaishM period, the
zoo and other facilities were moved to Takarazuka,
shifting the central focus of tourist development
there. The railway line was also extended
towards the Kobe area, and the company changed
its name to Hanshin KykkM Electric Railway
(Hankyu). It is a well-known story that
the successor to the public hall in Minoh
was the new theater built in Takarazuka,
and the Takarazuka Girls' Opera (Takarazuka
ShMjo Kageki) was born and experienced great
development with this theater as its base. I
asked my friend because I found it so curious.
However, my friend replied that he did not
know. In any case, this is not a matter
of great importance. I simply added it as
a slight superfluous note (dasoku), thinking that my uncle, being knowledgeable
about such things, might happen to know [the
reason].
The thing I actually The information I
wanted to tell you about was not actually
this spacious earthen floor. The problem
was the two elderly women who were standing
on the earthen floor. There were two of them.
One was standing, and the other was seated
on a chair. However, both of them had closely
cropped, shaven heads. The one who was standing
looked at my friend's face and offered a
greeting immediately upon our entering. And
then...
“Oh, pardon me, sir. I’m shaving the
head of this eighty-six-year-old granny right
now. Now then, ma’am, please hold still,
just a little more. There now, it’s all
shaved clean; not a single hair left. Nothing
to be afraid of at all,” he said.
The old woman, sitting in the chair, stroked
her head and thanked him with a simple, “Thank
you kindly.”My friend looked back at me
and laughed, saying there was something rustic
about the scene. I laughed as well. But
it was not only laughter?I felt as if I had
been born a hundred years ago, with a calm
and easygoing heart.
“I want to take this feeling home with me
to Tokyo as a sort of souvenir,” I said.
I also wished that IchizM would bring this
kind of feeling home as a gift for my sister.
"I want to state that in this respect,
I am congenitally different from both my
uncle and my mother. As a child who grew
up relatively comfortably and was materially
fortunate, I indulged in luxuries without
recognizing them as such, and I was perfectly
at ease with it.For instance, regarding clothing, I would
wear what my mother cautioned was appropriate
for public appearances, yet I maintained
a serene indifference, taking it entirely
for granted. However, that composure was
merely the result of long-cultivated habit,
stemming from an ignorance of which I myself
was unaware. The moment I become conscious
of it, a sudden feeling of anxiety overtakes
me."
.jpg)
.jpg)
The core of the narrative is the guest's eccentric behavior and the geisha's bold and theatrical reaction to it.
.jpg)
| System Number | Main Destination | Operating Direction at Ogawamachi |
| Aoyama Line | Aoyama, Shibuya areas | Southwest (Crossing Hongo-dori and Kanda-dori) |
| Kudan Line | Kudanshita, Shinjuku areas | West (Proceeding west on Kanda-dori) |
| Manseibashi Line | Manseibashi area | East (Proceeding east on Kanda-dori) |
| Hongo Line | Hongo Sanchome, Ueno areas | North (Proceeding north on Hongo-dori) |
| Shimbashi Line | Shimbashi, Ginza areas | South (Proceeding south on Hongo-dori) |
Knowledge Through the Eardrum
In short, all of his recent knowledge and
feelings about human existence stemmed from
the workings of his eardrums. The lengthy
conversation, which began with Morimoto and
ended with Matsumoto, initially stirred him
broadly and shallowly, then gradually moved
him deeply and narrowly before abruptly ceasing.
Yet he never truly engaged with it. This
was both his dissatisfaction and his good
fortune. In his dissatisfaction, he cursed
the serpent's head; in his happiness, he
blessed it. Then, gazing up at the vast sky,
he pondered how this drama, which had seemed
to end abruptly before him, would now flow
eternally into the future.